Science
03-05-2022
Ladies are allowed to go ahead: a woman will be the first to ...
It is believed that Mars is a "male" planet. Despite this, a woman's foot will be the first to step on it. NASA management has ...
30-04-2022
Scientists have figured out who is smarter — blondes or ...
Scientists say that jokes about stupid blondes are no longer relevant. Serious research has shown that we have always been biased ...
29-04-2022
How did the Novichok combat poison appear and why does it ...
At all times, poison was considered the most effective and quiet way to deal with opponents. Poisoning has always been popular, ...
28-04-2022
5 Weirdest Cargoes Ever Carried
For many reasons, cargo has been transported back and forth around the world for centuries. Most of the items that you can carry ...
26-04-2022
Scientists have shown what the Covid-19 coronavirus looks ...
On Thursday, February 13, the National Institute of Allergy and Infectious Diseases showed the first images of the Covid-19 virus ...
26-04-2022
Most Painful Insect Stings
Entomologist Justin Schmidt has been stung more than 1,000 times by more than 80 different types of insects. It was he who ...
26-04-2022
Apartment killer: the girl almost died from mold on the walls ...
People often complain about the bad energy in the house and the unpleasant sensations they experience while there. But what ...
22-04-2022
Physicists have studied Oreo cookies and made an important ...
What scientists do not do during working hours. They are ready to investigate the most senseless phenomena, hiding behind the fact ...
22-04-2022
5 Mysteries of Ancient Egypt We Never Knew About
For some of us, the pyramids of Egypt are no more than a tourist attraction. However, with scientific advancement come exciting new ...
20-04-2022
Another Step Towards Life on Mars
The BioPod project has successfully emerged from its simulation to build a sustainable food production system on another planet!
20-04-2022
11 Greatest Warriors Ever
Throughout history, there have been many great people in various fields of human activity - from science to art, from philosophy to ...
09-04-2022
Ten Great "Twos"
Is the child doing poorly at school? This is not a reason to consider him a complete loser and look anxiously into the future. Not ...
07-04-2022
10 unusual phenomena for which, it turns out, there are terms
There are billions of words in the world describing a variety of situations and concepts. However, some phenomena are so rare that ...
05-04-2022
"Pleasure and no hangover": Scientists create alcohol that ...
Even the most refined, expensive wine will not save you from a morning hangover. But scientists from Britain are working on a drink ...
03-04-2022
The 10 most powerful poisons
There are many poisons of very different nature in the world. Some of them act almost instantly, others can torment the victim of ...
02-04-2022
Why the Ramform Hyperion floating "iron" plows the ocean
In recent years, few people can be surprised by multi-deck sea liners, giant tankers and large-scale aircraft carriers, but the ...
02-04-2022
The girl clearly showed the bacterial danger of church icons
Daria Fedorova is a believer and, as is customary among the Orthodox, touches icons in churches. But, as a modern person, the girl ...
02-04-2022
Open marriage, "temporary family" and sologamy: new types of ...
Today, in addition to traditional marriages, there are a huge variety of different options for relationships between people. ...
01-04-2022
Your best personality trait based on your Chinese zodiac sign
If you live your life according to the Gregorian calendar, your New Year holidays come and go. But if you are a Moon calendar ...
29-03-2022
10 ways to prevent blood clots
With the way we sit in front of our computers and televisions these days, anyone is at risk for life-threatening blood clots. If ...
29-03-2022
7 Indian tips to keep you young and healthy
Nowadays, there are many ways to take care of your beauty and health, but Indians are trying to find the main source of all this, ...
29-03-2022
Top 10 most beautiful female scientists
It is generally believed that smart women, firstly, are rare. Secondly, they are, to put it mildly, not quite attractive. Or at ...
28-03-2022
18 Signs You Should Go to the Hospital Immediately
Your health and the health of your loved ones is the most important thing in the world.
27-03-2022
Frightening photos of great heights
As you might suspect, fear of heights is one of the most common phobias (followed by public speaking). An estimated 3 to 5 percent ...
26-03-2022
How the FBI solved the mystery of the severed head of a ...
In 1915, a group of American archaeologists discovered the ancient Egyptian necropolis of Deir el-Bersha and the entrance to a ...
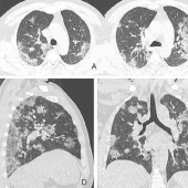
24-03-2022
What do the lungs affected by coronavirus look like
Shocking X-rays of a 44-year-old patient from China who died from coronavirus show what this disease does to human lungs. We are ...















