Prion diseases, which slowly and painfully die in 100% of cases
Categories: Health and Medicine
By Pictolic https://www.pictolic.com/article/prion-diseases-which-slowly-and-painfully-die-in-100-of-cases.htmlIn recent decades, medical science has made a huge leap forward. We can sew the arms and legs, transplant organs grown in vitro embryos, cloning and more. But despite all the successes, there are ailments to which mankind is powerless. Prion disease is a guaranteed death, which doctors can slightly delay, but not defeat.

Prion infection is a family of rare neurodegenerative diseases that represent a danger both for people and for animals. Their agents — a special class of infectious agents that from 1982 called prions. By their nature, are proteins with an abnormal tertiary structure.

Prions reproduce by normal cells of the body, transforming the normal cell protein similar to themselves. Because of this, the human body starts degenerative changes having irreversible character, or rather, the death of neurons.
The human brain infected with a prion infection, is gradually transformed into a porous sponge, and the patient loses cognitive function loses social skills and then inevitably die. Today science is aware of only four diseases of this group: Creutzfeldt-Jakob syndrome Gertsmann of Straussler Sheinker, Kuru and fatal insomnia.
Scientists have just found three ways that infection is transmitted. Prion diseases can be inherited, to the provision of assistance to the patient or at autopsy, and also be infected by eating infected meat. But the worst thing is that prion diseases sometimes occur sporadically without obvious reasons.

Prions were discovered relatively recently — in the mid-twentieth century. Despite the fact that they actively study, scientists still know about this infection, not all. Four diseases caused by hostile proteins, not amenable to treatment — patients receive only palliative and gradually fade. Death may occur after several months or years, depending on the disease and condition of the human body.
This is the most common on the planet of prion disease. Most often it affects people over 60 years of age and appears sporadically. Without any prerequisites, the man begins to fade away right before your eyes, the symptoms of the disease are very similar to those that accompany Alzheimer's disease.

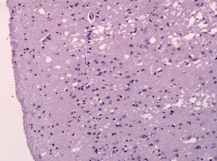
Brain tissue of a patient with Creutzfeldt — Jakob under the microscope
Patients show change in behavior, loss of coordination, disorders of attention and memory, seizures. Often accompanied by mental disorders, for example, hallucinations and various delusions. Also many patients note visual disturbances.
The patient's condition deteriorates rapidly and he soon loses the ability to serve themselves and move around. From the moment of appearance of the first symptoms of the disease Creutzfeldt-Jakob disease before the person's death is not more than a year. The maximum lifetime of the patient, officially recorded, amounted to half a year.
The disease has a hereditary character and manifests itself in the age of 40 years. The clinical picture is very similar to the Creutzfeldt-Jakob — also, the patient disturbed coordination of movements and speech, develop dementia, deafness, and nystagmus (uncontrolled eye movement). The patient loses social skills and require special care and maintenance therapy. These patients on average die five years after the first signs of the syndrome.

Prion seems harmless enough
The second name of this disease — fatal insomnia. Fatal insomnia may be due to familial, i.e. inherited or sporadic, sudden arising. In hereditary form, there is mutation of just one gene, in which the man dies in agony after a few months or years.
To show hereditary disease may at any age, usually in the range from 20 to 70 years. First fatal insomnia like normal insomnia. But she is progressing and trouble falling asleep and staying asleep begin to bother the person every day more and more.

Soon appear the first cognitive disorders: impairment of memory and ability to focus. Later they are joined by mental disorders and other disorders such as tachycardia, sweating, and hyperthermia.
When fatal insomnia the human body works literally wear and how long the patient will live, depends on stamina and quality of supportive therapy. The sporadic form of the disease affects older people and life expectancy of these patients is higher. It should be emphasized that they all die and their last months of his life is filled with suffering.
This is an endemic disease, scientists first discovered by Carlton Guidescom and Vincent Igasom in 1957, the representatives of the nation handicap living in the highlands of Papua New Guinea. At the initial stage in patients with marked limb tremor, seizures and headaches. Later comes a loss of coordination and dementia, and then death. The illness usually lasts no more than one year.

Disease Kuru merciless as adults, and children
In the language of fauré "Kuru" is the damage or the evil eye, but the patients themselves are responsible for the spread of this deadly disease. The cause of Kuru and ritual cannibalism, common among members of this tribe. During a special ceremony fauré eating the bodies of dead tribesmen, paying special attention to the brain. It was believed that this contributes to the development of the mind, so the brain is fed the children.
Now, when the tribe no longer practices cannibalism, the occurrence of Kuru are still being found by scientists. The fact that prion infection is very insidious and its incubation period ranges from four weeks up to 50 years. Tasted once of flesh and the odds become ill decades later, and medicine cannot help them.
Without a doubt, a prion infection, prevalent worldwide, invades and Russians. But we have these illnesses are not diagnosed and neither the patient nor his relatives did not know about the terrible diagnosis. To blame domestic legislation. A special order of Rospotrebnadzor defines a prion disease like "emergency of public health sanitary-epidemiological nature."

According to the rules, after patients with prion diseases, it should be disposed of all in contact with it equipment, from crockery and couches, ending with costly MRI or ultrasound. In addition, each case entails significant bureaucratic red tape.
All this leads to the fact that the Russian health care system ignores the existence of prion diseases. Can't domestic medicine and to protect and medical staff, especially pathologists. Due to the complexity of accurate diagnosis diagnosis is usually put after the death of the patient.
There are cases when patients with suspicious symptoms even refuse hospitalization, citing the lack of equipment and trained professionals. Doctors are aware of this problem but they even if you want I can not help — because of the hopelessly ill, with no chance to survive, they can not deny the help of hundreds of other people.

So the problem of prion diseases in Russia is a complex moral dilemma that always decide in favor of the doomed patient. Therefore, in our country people with prion diseases are deprived of palliative care and, indeed, dying a painful death, they remain in the dark about what happens to them.
Keywords: Protein | Insomnia | Sickness | Cannibal | Papua New Guinea | Death of
Post News ArticleRecent articles
It's high time to admit that this whole hipster idea has gone too far. The concept has become so popular that even restaurants have ...
There is a perception that people only use 10% of their brain potential. But the heroes of our review, apparently, found a way to ...
Related articles
Counting sheep while trying to sleep? A Tik-Tok user shared a much more effective way to quickly go into the arms of Morpheus. The ...
Many of us can't sleep in socks because this simple piece of everyday wardrobe gets in the way. But doctors believe that it is ...
Everyone knows that in order to get a full night's sleep, a person needs 8-9 hours. But in practice, most of us are sorely lacking ...

New Year's is a time to surprise and delight loved ones not only with gifts but also with a unique presentation of the holiday ...