Las enfermedades priónicas, que poco a poco y dolorosamente morir en el 100% de los casos
Categorias: Salud y Medicina
Por Pictolic https://www.pictolic.com/es/article/las-enfermedades-prinicas-que-poco-a-poco-y-dolorosamente-morir-en-el-100-de-los-casos.htmlEn las últimas décadas, la ciencia médica ha dado un gran salto hacia adelante. Podemos coser los brazos y las piernas, trasplante de órganos cultivados in vitro de embriones, clonación y más. Pero a pesar de todos los éxitos, hay dolencias para las que el ser humano es impotente. La enfermedad de priones es una garantía de la muerte, que los médicos pueden retrasar ligeramente, pero no la derrota.

La infección por priones es una familia de raras enfermedades neurodegenerativas que representan un peligro tanto para las personas como para los animales. Sus agentes — una clase especial de agentes infecciosos que a partir de 1982, llamadas priones. Por su naturaleza, son proteínas con una anormalidad en la estructura terciaria.

Los priones se reproducen por células normales del cuerpo, la transformación de la célula normal de la proteína similares a ellos mismos. Debido a esto, el cuerpo humano comienza a cambios degenerativos tener carácter irreversible, o más bien, la muerte de las neuronas.
El cerebro humano infectado con una infección por priones, se transforma gradualmente en una esponja porosa, y el paciente pierde la función cognitiva pierde habilidades sociales y luego, inevitablemente muere. Hoy la ciencia es consciente de que sólo cuatro de las enfermedades de este grupo: la enfermedad de Creutzfeldt-Jakob síndrome de Gertsmann de Straussler Sheinker, Kuru y el insomnio fatal.
Los científicos han encontrado tres formas en las que la infección se transmite. Las enfermedades por priones pueden ser heredadas, para la prestación de asistencia para el paciente o en la autopsia, y también pueden ser infectados por comer carne infectada. Pero lo peor es que las enfermedades priónicas a veces se producen de forma esporádica sin razones obvias.

Los priones fueron descubiertos hace relativamente poco tiempo — en la mitad del siglo xx. A pesar del hecho de que se activa el estudio, los científicos todavía saber acerca de esta infección, no todos. Cuatro enfermedades causadas por el hostil proteínas, no es susceptible de tratamiento de los pacientes reciben sólo paliativos y poco a poco se desvanecen. La muerte puede ocurrir después de varios meses o años, dependiendo de la enfermedad y la condición del cuerpo humano.
Este es el más común en el planeta de la enfermedad de priones. Más a menudo afecta a personas de más de 60 años de edad y aparece de forma esporádica. Sin requisitos previos, el hombre comienza a desaparecer delante de sus ojos, los síntomas de la enfermedad son muy similares a los que acompañan a la enfermedad de Alzheimer.

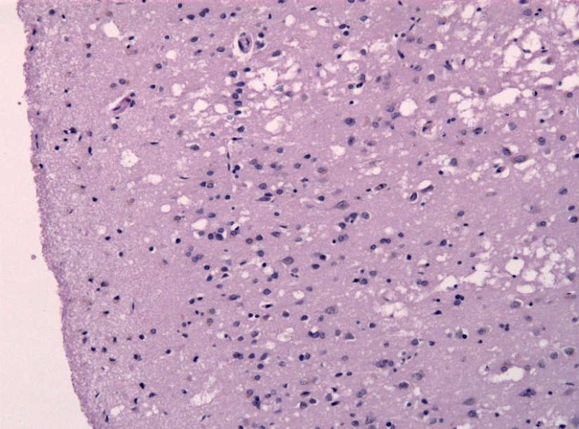
El tejido cerebral de un paciente con la enfermedad de Creutzfeldt — Jakob bajo el microscopio
Los pacientes muestran cambios en el comportamiento, pérdida de la coordinación, trastornos de la atención y la memoria, convulsiones. A menudo acompañado por trastornos mentales, por ejemplo, las alucinaciones y delirios varios. También muchos pacientes notan alteraciones visuales.
El estado del paciente se deteriora rápidamente y pronto se pierde la capacidad para servir a sí mismos y a moverse. Desde el momento de la aparición de los primeros síntomas de la enfermedad de Creutzfeldt-Jakob enfermedad antes de la muerte de la persona no es más de un año. La duración máxima de la paciente, registradas oficialmente, asciende a la mitad de un año.
La enfermedad tiene un carácter hereditario, y se manifiesta en la edad de 40 años. El cuadro clínico es muy similar a la enfermedad de Creutzfeldt-Jakob — además, el paciente perturbado la coordinación de los movimientos y el habla, de desarrollar demencia, sordera, y nistagmo (incontrolada de movimiento de los ojos). El paciente pierde habilidades sociales y requieren de un cuidado especial y la terapia de mantenimiento. Estos pacientes, en promedio, mueren cinco años después de los primeros signos del síndrome de down.

Priones parece bastante inofensivo
El segundo nombre de esta enfermedad — el insomnio fatal. El insomnio Fatal puede ser debido a la familiar, es decir, hereditaria o esporádica, súbita derivadas. En la forma hereditaria, no es la mutación de un solo gen, en el que el hombre muere en agonía después de algunos meses o años.
Para mostrar enfermedad hereditaria que se puede a cualquier edad, generalmente en el rango de 20 a 70 años. Primero el insomnio fatal como el insomnio. Pero ella está progresando y problemas para conciliar el sueño y permanecer dormido comienzan a molestar a la persona cada día más y más.

Pronto aparecen los primeros trastornos cognitivos: el deterioro de la memoria y de la capacidad para concentrarse. Más tarde se unió a los trastornos mentales y de otros trastornos tales como taquicardia, sudoración, y la hipertermia.
Cuando el insomnio fatal funciona el cuerpo humano, literalmente, el desgaste y el tiempo que el paciente va a vivir, depende de la resistencia y la calidad de la terapia de apoyo. La forma esporádica de la enfermedad afecta a las personas mayores y de la esperanza de vida de estos pacientes es mayor. Cabe destacar que todos mueren y sus últimos meses de su vida está llena de sufrimiento.
Esta es una enfermedad endémica, los científicos descubrieron por Carlton Guidescom y Vicente Igasom en 1957, los representantes de la nación de la desventaja que viven en las tierras altas de Papúa Nueva Guinea. En la etapa inicial en pacientes con marcada temblor de las extremidades, convulsiones y dolores de cabeza. Más tarde llega a una pérdida de la coordinación y la demencia, y luego la muerte. La enfermedad generalmente no dura más de un año.

La enfermedad de Kuru despiadado como los adultos, niños y
En el lenguaje de fauré "Kuru" es el daño o el mal de ojo, sino a los propios pacientes son responsables de la propagación de esta enfermedad mortal. La causa de Kuru y el ritual de canibalismo, común entre los miembros de esta tribu. Durante una ceremonia especial de fauré comer los cuerpos de los muertos de la tribu, prestando especial atención al cerebro. Se creía que esto contribuye al desarrollo de la mente, de modo que el cerebro se alimenta a los niños.
Ahora, cuando la tribu ya no prácticas de canibalismo, la aparición de Kuru son todavía ser encontrado por los científicos. El hecho de que la infección por priones es muy insidiosa y su periodo de incubación oscila entre cuatro semanas hasta los 50 años. Probó una vez de la carne y de las probabilidades de enfermar décadas más tarde, y la medicina no puede ayudar a ellos.
Sin duda, una infección por priones, frecuente en todo el mundo, invade y Rusos. Pero tenemos estas enfermedades no son diagnosticados y ni el paciente ni sus familiares no sabían sobre el terrible diagnóstico. La culpa la legislación nacional. Un pedido especial de Rospotrebnadzor define una enfermedad de priones como "emergencia de salud pública sanitaria-epidemiológica de la naturaleza."

De acuerdo a las reglas, después de que los pacientes con enfermedades priónicas, se debe eliminar de todos en contacto con el mismo equipo, de la vajilla y sofás, terminando con costosos resonancia magnética o una ecografía. Además, cada caso implica significativo de la burocracia.
Todo esto conduce al hecho de que la federación de cuidado de la salud del sistema ignora la existencia de las enfermedades priónicas. No puede doméstica de la medicina y para proteger a los médicos y el personal, especialmente los patólogos. Debido a la complejidad del diagnóstico el diagnóstico es usualmente después de la muerte de la paciente.
Hay casos cuando los pacientes con síntomas sospechosos de los residuos de hospitalización, citando la falta de equipo y personal capacitado. Los médicos son conscientes de este problema, pero incluso si usted quiere yo no puedo ayudar — a causa de la mal sin remedio, sin posibilidad de sobrevivir, no se puede negar la ayuda de cientos de otras personas.

Por lo que el problema de las enfermedades priónicas en Rusia, es un complejo dilema moral que siempre decidir en favor de los condenados paciente. Por lo tanto, en nuestro país las personas con enfermedades priónicas son privados de los cuidados paliativos y, de hecho, al morir una muerte dolorosa, ellos permanecen en la oscuridad acerca de lo que les sucede.
Palabras clave: La proteína | El insomnio | La enfermedad | El caníbal | Papua Nueva Guinea | La muerte de
Publicar artículo de noticiasArtículos Recientes
Ya es hora de admitir que toda esta idea hipster ha ido demasiado lejos. El concepto se ha vuelto tan popular que incluso los ...
Hay una percepción de que las personas sólo utilizan el 10% de su cerebro potencial. Pero los héroes de nuestra revisión, al ...
Artículos relacionados
Según la oms, a causa de enfermedades relacionadas con el Tabaquismo, cada ocho segundos muere una persona. El número de muertes ...
Todos sabemos que las alergias pueden ser perros, gatos, el chocolate, los cítricos y el polen. Pero las cosas que pueden causar ...
La lepra durante miles de años ha existido con el hombre, causando un enfriamiento por temor a que su imprevisibilidad y falta de ...

Año Nuevo es una época para sorprender y deleitar a los seres queridos, no solo con regalos, sino también con una presentación ...