Impactantes rayos X de vapeadores ligeros
Categorias: Ciencias | Conflicto | Moda | Mundo | Norteamérica | Salud y Medicina | Sociedad
Por Pictolic https://www.pictolic.com/es/article/impactantes-rayos-x-de-vapeadores-ligeros.htmlEl vapeo se está volviendo cada vez más popular, pero las alarmas sobre su peligro suenan cada vez con más frecuencia. Si antes todos estaban encantados de que fuera inofensivo para la salud, ahora los médicos están haciendo sonar la alarma debido a la amenaza de enfermarse o algo peor: ir al otro mundo debido a un pasatiempo fragante.
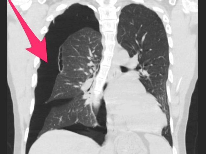
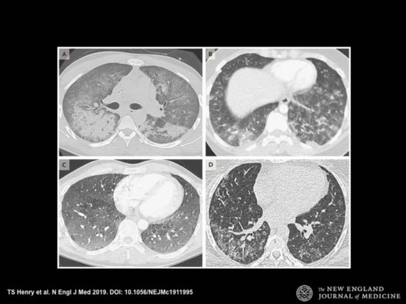
Los médicos decidieron publicar radiografías de los pulmones de los fumadores después de una serie de muertes asociadas con el uso del vapeo para advertir a todos sobre su daño.
Analice más a fondo en qué se han convertido los pulmones de los jóvenes adictos al vapeo.
Los Centros Estadounidenses para el Control de Enfermedades informan que desde principios de 2019, se han registrado al menos 450 muertes en 33 estados solo en los Estados Unidos debido al vapeo. Minnesota, California, Oregón, Illinois e Indiana: el humo fragante se cobró la vida de los residentes de estos estados.
Mientras se realizan las investigaciones, los médicos recomiendan encarecidamente no usar cigarrillos electrónicos para no contraer enfermedades pulmonares graves.





Un pasatiempo de moda lleva a los jóvenes a la tumba, que están felices de inhalar humo fragante. Inofensivo, a primera vista, el enamoramiento conduce a consecuencias irreversibles. Las radiografías de los pulmones de los fumadores de vape son una prueba irrefutable del daño de las cachimbas electrónicas. Esperamos que esta información aparezca en su cabeza antes de la próxima calada.
Recientemente, una joven estadounidense casi se despide de la vida, cayendo en coma después de una peligrosa enfermedad pulmonar. Una residente de Utah está segura de que esto sucedió debido a su pasión por el vapeo.
Palabras clave: Enfermedad | Vapeo | Vapeadores | Médicos | Daño | Malos hábitos | Investigación | Fumar | Pulmones | Peligro | Rayos X | Muerte | Instantáneas | Cigarrillos electrónicos
Publicar artículo de noticiasArtículos Recientes
Ya es hora de admitir que toda esta idea hipster ha ido demasiado lejos. El concepto se ha vuelto tan popular que incluso los ...
Hay una percepción de que las personas sólo utilizan el 10% de su cerebro potencial. Pero los héroes de nuestra revisión, al ...
Artículos relacionados
Acercarse no sólo a la época de las vacaciones y la diversión, sino también el tiempo de la gripe. Cada año, el número de ...
Lauren Wasser (Lauren Wasser) una vez vivió una vida ordinaria. Trabajaba como modelo, jugaba baloncesto en su tiempo libre, a ...
Creemos que una nutrición adecuada para los resfriados es una bebida caliente abundante, caldo de pollo y fruta. Pero los médicos ...

Año Nuevo es una época para sorprender y deleitar a los seres queridos, no solo con regalos, sino también con una presentación ...