Shocking X-rays of light vapers
Categories: Conflict | Fashion | Health and Medicine | North America | Science | Society | World
By Pictolic https://www.pictolic.com/article/shocking-x-rays-of-light-vapers.htmlVape is becoming more and more popular, but alarm bells about its danger are sounding more and more often. If earlier everyone was delighted that he was harmless to health, now doctors are sounding the alarm because of the threat of getting sick or worse - to go to the next world because of a fragrant hobby.
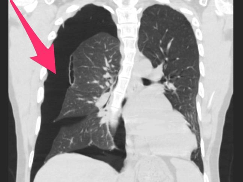
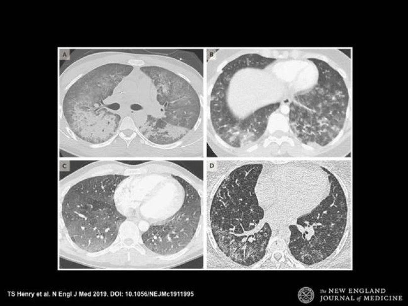
Doctors decided to publish X-rays of smokers' lungs after a series of deaths associated with the use of vaping to warn everyone about its harm.
Look further into what the lungs of young people who are addicted to vaping have turned into.
The American Centers for Disease Control informs that since the beginning of 2019, at least 450 deaths have been registered in 33 states in the United States alone due to vaping. Minnesota, California, Oregon, Illinois and Indiana: fragrant smoke took the lives of residents of these states.
While investigations are underway, doctors strongly recommend not using e-cigarettes in order not to come down with severe lung diseases.





A fashionable hobby brings young people to the grave, who are happy to inhale fragrant smoke. Harmless, at first glance, infatuation leads to irreversible consequences. X-rays of the lungs of vape smokers are irrefutable proof of the harm of electronic hookahs. We hope this information will pop up in your head before the next puff.
Recently, a young American woman almost said goodbye to life, falling into a coma after a dangerous lung disease. A resident of Utah is sure that this happened because of her passion for vaping.
Keywords: Disease | Vape | Vapers | Doctors | Harm | Bad habits | Research | Smoking | Lungs | Danger | X-ray | Death | Snapshots | Electronic cigarettes
Post News ArticleRecent articles
It's high time to admit that this whole hipster idea has gone too far. The concept has become so popular that even restaurants have ...
There is a perception that people only use 10% of their brain potential. But the heroes of our review, apparently, found a way to ...
Related articles
According to the who, from diseases related to Smoking, every eight seconds a person dies. The number of deaths per year up to five ...
We all know that allergies can be cats, dogs, chocolate, citrus fruits and pollen. But things that can cause a dangerous reaction, ...
This case is very important in the history of medicine — not only because of the sad fate of the boy David Phillip Vetter, but ...

New Year's is a time to surprise and delight loved ones not only with gifts but also with a unique presentation of the holiday ...