The most incredible objects that have been found in the human body
Categories: Health and Medicine
By Pictolic https://www.pictolic.com/article/the-most-incredible-objects-that-have-been-found-in-the-human-body.htmlIf you are uncomfortable with the doughnut that you ate for lunch, relax — it can be worse… At least you didn't eat the batteries—and, by the way, some people manage to swallow them, too. Maybe, of course, they are low-calorie, but they are unlikely to bring special benefits to the body. And if you think that snacking on batteries is strange, then you will be even more surprised, because this issue is dedicated to objects that were found in human bodies. And the batteries will seem yummy in comparison with them. (Although, of course, it is worth noting that some items from this issue did not get inside the body through the mouth at all.)


1. Spoon.

2. The bullet.

3. Wedding ring.

4. Coins.

5. Magnets.

6. Pebbles.

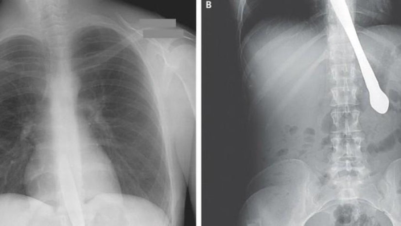
7. The key.

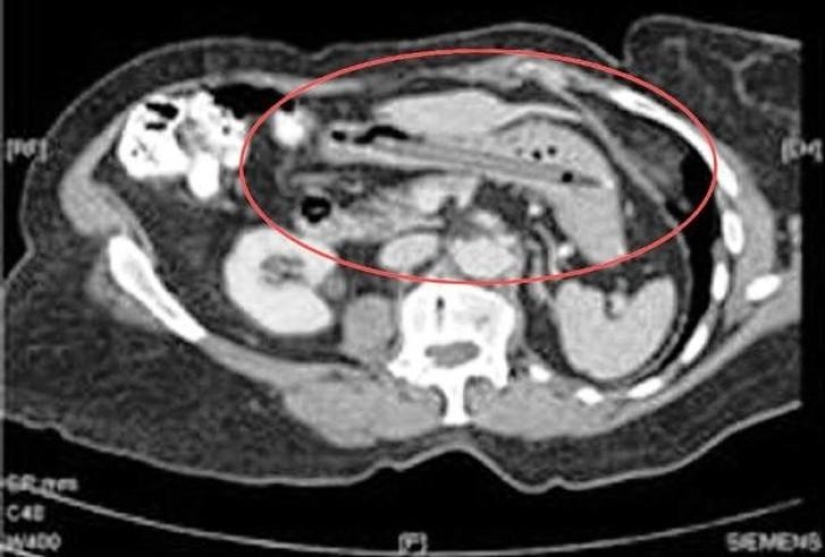
8. Handle.

9. Bottle.

10. The nail.

11. Live frogs.

12. Cutlery.

13. And here are the batteries!

14. Grenade.

15. Light bulb.

16. Fork.

17. A huge ball of wool.

18. The twin embryo.

19. Springs from the bed.

20. Mobile phone.

21. The propeller from the plane.

22. Surgical forceps.

23. Methamphetamines.

24. Scissors.

25. Live eel.
Keywords: Unbelievable | X-ray | Body
Post News ArticleRecent articles
It's high time to admit that this whole hipster idea has gone too far. The concept has become so popular that even restaurants have ...
There is a perception that people only use 10% of their brain potential. But the heroes of our review, apparently, found a way to ...
Related articles
Sex — is not only enjoyable, but also a very useful exercise. Orgasm improves the General condition of the organs and ...
Our body constantly gives signals about the state of health. If you are attentive to the changes that occur with the body, you can ...
Artist Kat Riley creates amazing photorealistic drawings that explore the power of touch and the sensuality of the flesh. In each ...

New Year's is a time to surprise and delight loved ones not only with gifts but also with a unique presentation of the holiday ...