Los objetos más increíbles que se han encontrado en el cuerpo humano
Categorias: Salud y Medicina
Por Pictolic https://www.pictolic.com/es/article/los-objetos-ms-increbles-que-se-han-encontrado-en-el-cuerpo-humano.htmlSi te sientes incómodo con la rosquilla que comiste para el almuerzo, relájate, puede ser peor, al menos no te comiste las baterías, y, por cierto, algunas personas también se las arreglan para tragarlas. Tal vez, por supuesto, son bajos en calorías, pero es poco probable que aporten beneficios especiales al cuerpo. Y si piensas que comer con pilas es extraño, entonces te sorprenderás aún más, porque este número está dedicado a objetos que se encontraron en cuerpos humanos. Y las baterías parecerán deliciosas en comparación con ellas. (Aunque, por supuesto, vale la pena señalar que algunos elementos de este problema no entraron en el cuerpo a través de la boca en absoluto.)


1. Cuchara.

2. Bala.

3. Anillo de bodas.

4. Moneda.

5. Magneto.

6. Guijarro.

7. Clave.

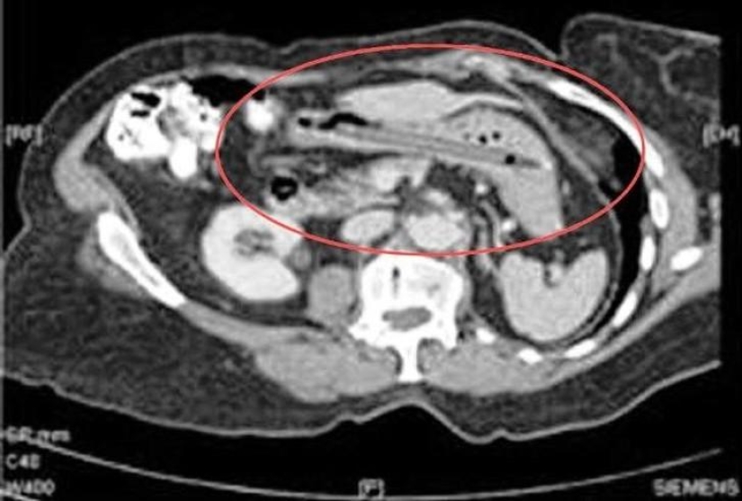
8. Manejar.

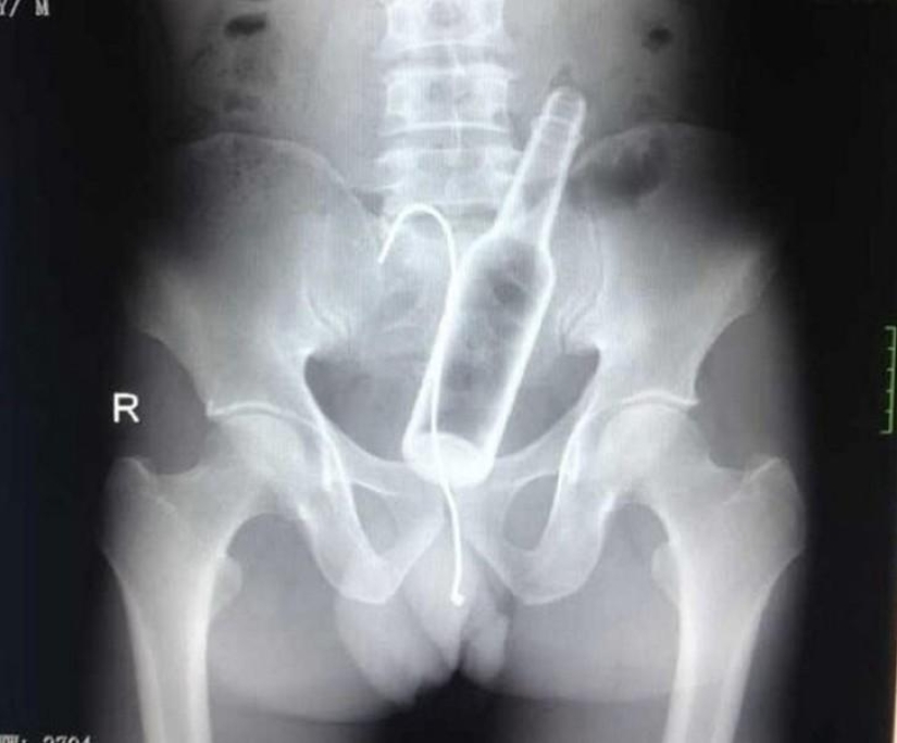
9. Botella.

10. Uña.

11. Ranas vivas.

12. Cubiertos.

13. Y aquí están las pilas!

14. Granada.

15. Bombilla.

16. Tenedor.

17. Una enorme bola de lana.

18. El embrión gemelo.

19. Resortes de la cama.

20. Teléfono móvil.

21. La hélice del avión.

22. Pinzas quirúrgicas.

23. Metanfetaminas.

24. Tijera.

25. Anguila viva.
Palabras clave: Increíble | Rayos X | Cuerpo
Publicar artículo de noticiasArtículos Recientes
Leonardo da Vinci fue acusado de ser aficionado a las orgías. Guillermo el Conquistador, a pesar de todos sus éxitos, fue llamado ...
¿Modestia? ¿Decencia? ¿Sentido del tacto? ¡No, no lo has oído! ¡Solo mira lo que están haciendo las personas de la siguiente ...
Artículos relacionados
Nuestro cuerpo constantemente da señales sobre el estado de salud. Si está atento a los cambios que se producen con el cuerpo, ...
Todas las culturas, países y Naciones diferentes, cada nación tiene sus propias tradiciones y costumbres. Pero una cosa sigue ...
Nuestro hermoso y diverso mundo va a sorprender incluso a los más empedernidos escéptico! Publicamos una selección de ...

El fotógrafo documental estadounidense Bruce Davidson llegó al Reino Unido en 1960 por un par de meses para la revista Queen. La ...