The most bizarre x-rays
Categories: Health and Medicine
By Pictolic https://www.pictolic.com/article/the-most-bizarre-x-rays.htmlTo believe that IT could be inside a living person, need to see their x-rays with my own eyes. We offer to your attention the most bizarre in the history of medicine x-rays, which is creepy and scary, and sometimes feel surprise or even a shock.
1. The skull of a Chinese man who was shot in the head with a pneumatic hammer

2. The stomach of a patient who swallowed two forks, a ballpoint pen and a toothbrush.

3. Vintage x-ray of the foot soldier of the Anglo-Boer war (1899-1902) with a gunshot wound. The bullet lodged in metatarsal between the thumb and second fingers.

4. The nail in the bones of the index and middle fingers of adult men.

5. Color the objects that are swallowed by the patient, and stuck in his gut, including the spoon and the blade.

6. The pin on the woman's throat.

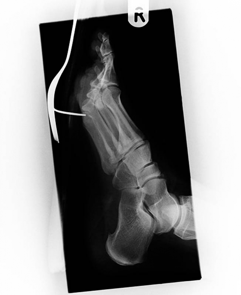
7. X-ray of a patient who stepped on a fork.

8. Coloured x-ray of the stomach of a patient who swallowed a razor (center left) and blade (top right).

9. Severed finger of a patient who had a fight with a man armed with a knife.

10. Another patient stepped on a fork.

11. The spear from the harpoon, caught in the head of a 16-year-old boy fishing.

12. Surgical scissors, accidentally forgotten in the body of the patient after surgery. The scissors were discovered only 18 months after the operation, because the woman complained of constant pain in the intestine.

13. The nail in the human skull – the patient accidentally shot himself with a pneumatic hammer. He didn't even know that shot himself with a 10 – meter nail was found only after 6 days.

14. Cell in the gut of the prisoner.

15. Knife in the head 10 year old boy. The boy survived.

16. Grenade in the skull of the prisoner.

17. Here is such a 15-cm kidney stone weighing 1.1 kg was removed the patient from Hungary.

18. 12-centimeter knife in the skull of a teenager.

19. Knife for cutting oil in the eye of the patient.

20. Bottle of "Pepsi" in the anus 60-year-old man.
Keywords: X-ray | Scary injury
Post News ArticleRecent articles
It's high time to admit that this whole hipster idea has gone too far. The concept has become so popular that even restaurants have ...
There is a perception that people only use 10% of their brain potential. But the heroes of our review, apparently, found a way to ...
Related articles
Do you often think about what it would be like without photos, magazines, or ATMs? For most people, these things are so familiar ...
Everyone has heard and knows the terrible stories that a person can accidentally or even voluntarily swallow objects that are not ...
November 8, 1895 is considered the day of the discovery of X-rays by professor and physicist Wilhelm Roentgen. However, few people ...

New Year's is a time to surprise and delight loved ones not only with gifts but also with a unique presentation of the holiday ...