La más extraña de rayos x
Categorias: Salud y Medicina
Por Pictolic https://www.pictolic.com/es/article/la-ms-extrana-de-rayos-x.htmlPara creer que podría ser el interior de una persona viva, necesitan ver que sus rayos-x con mis propios ojos. Ofrecemos a su atención los más extraños en la historia de la medicina de rayos x, que es espeluznante y aterradora, y a veces sensación de sorpresa o incluso un choque.
1. El cráneo de un hombre Chino que recibió un disparo en la cabeza con un martillo neumático

2. El estómago de un paciente que ingiere dos tenedores, un bolígrafo y un cepillo de dientes.

3. Vintage x-ray de el soldado de la guerra Anglo-Boer (1899-1902) con una herida de bala. La bala alojada en el metatarso entre el pulgar y el segundo dedo.

4. El clavo en los huesos de los dedos índice y medio de hombres adultos.

5. Color de los objetos que son ingeridos por el paciente, y se clavó en su estómago, incluyendo la cuchara y la cuchilla.

6. El pasador de la mujer de la garganta.

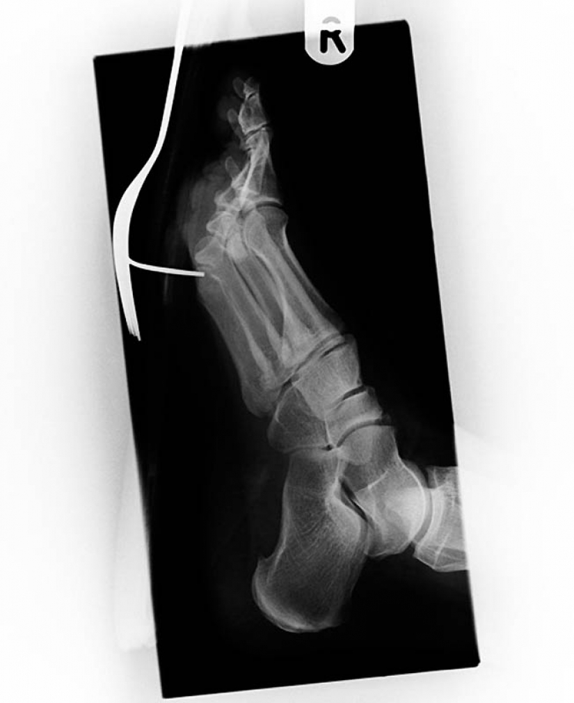
7. Radiografía de un paciente que pisó un tenedor.

8. Color de rayos x del estómago de un paciente que ingirió una maquinilla de afeitar (centro izquierda) y la hoja (parte superior derecha).

9. Cortó el dedo de un paciente que tuvo una pelea con un hombre armado con un cuchillo.

10. Otro paciente pisó un tenedor.

11. La lanza de la arpón, atrapados en la cabeza de un joven de 16 años de edad, niño de pesca.

12. Tijeras quirúrgicas, accidentalmente olvidado en el cuerpo del paciente después de la cirugía. Las tijeras fueron descubiertos sólo 18 meses después de la operación, porque la mujer se quejó de un dolor constante en el intestino.

13. El clavo en el cráneo humano – el paciente se disparó accidentalmente a sí mismo con un martillo neumático. Él ni siquiera sabía que se pegó un tiro con una de 10 metros de la uña se encuentra sólo después de 6 días.

14. De células en el intestino de los prisioneros.

15. Cuchillo en la cabeza de niño de 10 años. El niño sobrevivió.

16. Granada en el cráneo de un preso.

17. Aquí es una de 15 cm de piedra en el riñón de pesaje 1.1 kg fue eliminado de la paciente de Hungría.

18. 12 centímetros de cuchillo en el cráneo de un adolescente.

19. Cuchillo para cortar el aceite en el ojo del paciente.

20. Botella de "Pepsi" en el ano de 60 años de edad, hombre.
Palabras clave: X-ray | Miedo lesión
Publicar artículo de noticiasArtículos Recientes
Ya es hora de admitir que toda esta idea hipster ha ido demasiado lejos. El concepto se ha vuelto tan popular que incluso los ...
Hay una percepción de que las personas sólo utilizan el 10% de su cerebro potencial. Pero los héroes de nuestra revisión, al ...
Artículos relacionados
American actor y comediante Andy Richter compartido en Instagram una foto de tomografía computarizada del cráneo de un pug, firma ...

Año Nuevo es una época para sorprender y deleitar a los seres queridos, no solo con regalos, sino también con una presentación ...