35 x-ray images that reveal the world from an unexpected quarter
Categories: Health and Medicine | Positive | World
By Pictolic https://www.pictolic.com/article/35-x-ray-images-that-reveal-the-world-from-an-unexpected-quarter.htmlThe x-rays is not only an essential tool in medical practice, but also a portal to amazing and unknown world, which can impress even the experienced scholar. X-ray helps to see the reality in an unexpected way — and it's amazing!


A bouquet of flowers on x-ray

X-ray of a pregnant dog

The kiwi is preparing to lay an egg

X-ray of a Stingray-the hvostokol

Hammerhead shark x-ray

X-ray of an Egyptian sarcophagus with a mummy cat inside

"I cleidocranial desotos, or, if easier, my jaw a lot of extra "spare" teeth"

X-ray portrait of Charles II of Spain showed that he had written over the first version, which the artist created when the king was a few years younger

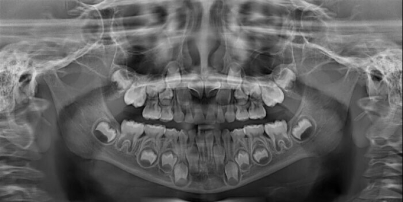
"I'm a dentist, but x-rays of children 6-12 years scare me a little bit still"

Rheumatoid arthritis

X-ray of a pregnant cat

So x-ray helps detect contraband

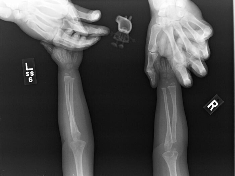
"My daughter asked to Peppa pig went for x-rays together with her"

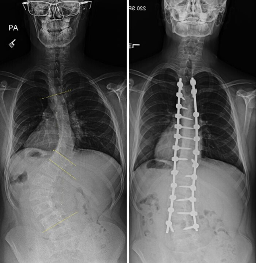
Operation concerning a curvature of the spine before and after

"It looks like a tumor of the kidney a snake"

X-ray of the foot women's heels

X-ray of a seahorse

Container nedorazumeniya bone cells and stem cells, inserted in the patient's neck for the regeneration of the spine

The contest "Miss perfect posture" in Chicago, 1956. Under the terms of the contest participants showed an x-ray

"Yesterday at the dentist did a panoramic picture of the teeth. Forgot to take off your glasses"

X-ray cat with scoliosis, which made her spherical

"That's x-ray on my metal hands"

Chinese a year passed with a spoon in the esophagus. Surprisingly, he doesn't inconvenience

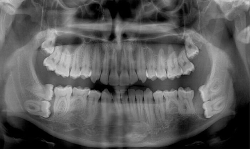
"With the lower wisdom teeth I was not lucky"

X-ray flamingos

"The insides of my cat on the x-ray-like image of Santa in sleigh"

"Eating cereal. Dislocated jaw"

"The girl was not afraid, at first, I x-rayed her soft toy — Fox"

Pregnant female Python

Leg Nikola Tesla in the Shoe: x-ray, made by himself on the camera of his own design in 1896

Tiger paw

Moon boots Neil Armstrong, taken on the x-ray before departure, on 7 July 1969

X-ray led lamp

The doll on the x-ray looks a bit scary

X-ray of the plants used to make the hospital hallway
Keywords: Health and medicine | Pictures | Peace | Positive | Shots | X-rays | Surprise
Post News ArticleRecent articles
It's high time to admit that this whole hipster idea has gone too far. The concept has become so popular that even restaurants have ...
There is a perception that people only use 10% of their brain potential. But the heroes of our review, apparently, found a way to ...
Related articles
There is a perception that people only use 10% of their brain potential. But the heroes of our review, apparently, found a way to ...
In the new year we are not only fun and give each other gifts, but also, of course, take pictures of your festive entertainment for ...
Immunity to poisons at all times been the dream of all authority. List of popes, kings and emperors, gave his soul to God through ...

New Year's is a time to surprise and delight loved ones not only with gifts but also with a unique presentation of the holiday ...