35 imágenes de rayos x que revelan el mundo de un inesperado trimestre
Categorias: Mundo | Positiva | Salud y Medicina
Por Pictolic https://www.pictolic.com/es/article/35-imgenes-de-rayos-x-que-revelan-el-mundo-de-un-inesperado-trimestre.htmlLos rayos x no es sólo una herramienta esencial en la práctica médica, pero también un portal increíble y desconocido mundo, que puede impresionar incluso al investigador experimentado. X-ray ayuda a ver la realidad de una manera inesperada — y es increíble!


Un ramo de flores en x-ray

X-ray de una perra preñada

El kiwi está preparando para poner un huevo

X-ray de la Raya-el hvostokol

Tiburón martillo x-ray

De rayos X de un Egipcio sarcófago con una momia dentro de gato

"Yo cleidocraneal desotos, o, si es más fácil, mi mandíbula un montón de extra "de repuesto" dientes"

X-ray retrato de Carlos II de España mostró que él había escrito sobre la primera versión, que el artista creó cuando el rey era un par de años más joven

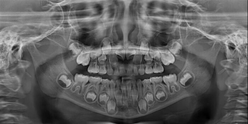
"Soy un dentista, pero los rayos x de los niños de 6-12 años me asustan un poco todavía"

La artritis reumatoide

X-ray de una embarazada gato

De modo que x-ray ayuda a detectar contrabando

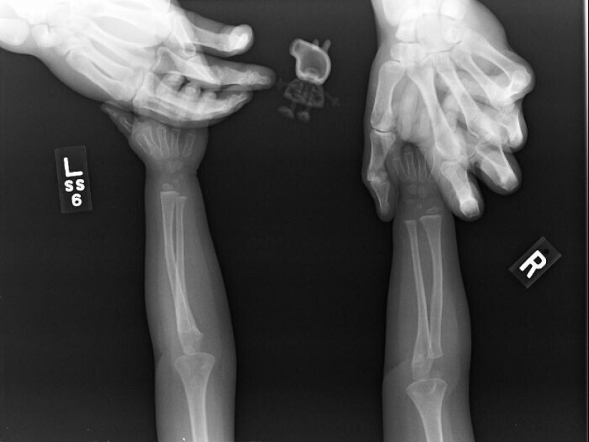
"A mi hija le preguntó a Peppa pig pasó por los rayos x junto con ella"

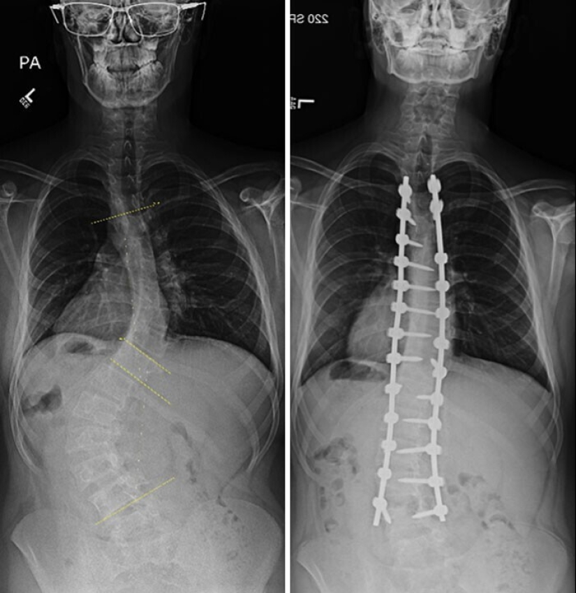
Operación sobre una curvatura de la columna vertebral antes y después de

"Parece un tumor en el riñón una serpiente"

De rayos X de los pies de las mujeres con tacones

De rayos X de un caballito de mar

Contenedor nedorazumeniya ósea las células y las células madre, que se inserta en el cuello del paciente para la regeneración de la columna vertebral

El concurso "Miss postura perfecta" en Chicago, 1956. Bajo los términos del concurso, los participantes mostraron un x-ray

"Ayer en el dentista hizo una imagen panorámica de los dientes. Se olvidó de quitarse los anteojos"

X-ray gato con escoliosis, que hicieron de ella esférica

"Eso es x-ray en mi metal manos"

China pasó un año con una cuchara en el esófago. Sorprendentemente, él no tiene inconveniente

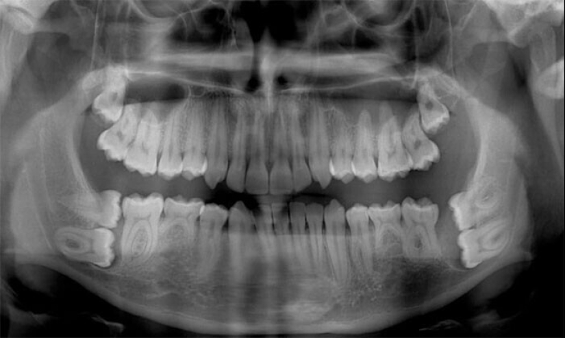
"Con la parte inferior de los dientes de la sabiduría no tuvo suerte"

X-ray flamencos

"El interior de mi gato en el x-ray-como en la imagen de la Santa en trineo"

"Comer cereales. Luxación de la mandíbula"

"La niña no tenía miedo, al principio, me rayos x su juguete — Fox"

Mujer embarazada de Python

La pierna de Nikola Tesla en el Zapato: x-ray, hecho por él mismo en la cámara de su propio diseño en 1896

Tiger paw

Botas de luna, Neil Armstrong, en el x-ray antes de la salida, el 7 de julio de 1969

X-ray de la lámpara del led

La muñeca en la radiografía se ve un poco de miedo

De rayos X de las plantas que se utilizan para hacer el pasillo del hospital
Palabras clave: La salud y la medicina | Las imágenes | La paz | La positiva | Vacunas | Rayos x | Sorpresa
Publicar artículo de noticiasArtículos Recientes
El usuario de Twitter @FactBuffet recopila datos interesantes sobre todo. Hoy traemos a su atención otra serie de hechos que él ...
La prefectura de Aomori, al norte de la isla japonesa de Honshu, es una región agrícola famosa por sus deliciosas manzanas. ...
Artículos relacionados
En comparación con la década de 1970-ies 1980‑e años fueron una época de optimismo y cautela en nueva York. El auge de wall ...
Ahora es posible de no mirar impotente alcohólicas mapa en busca de palabras conocidas, y de inmediato ordenó al camarero bebida ...
La vida con Mascotas es siempre divertido. ¿Por qué sólo su diario graciosas, que nos hacen reír hasta las lágrimas, y los amo ...

< p>Imagina un bebé vampiro o un pequeño zombi con ojos de cristal ... Un artista de los EE.UU., Bean Shinine, se especializa en ...