Los objetos más increíbles que se han encontrado en el cuerpo humano
Categorias: Salud y Medicina
Por Pictolic https://www.pictolic.com/es/article/los-objetos-ms-increbles-que-se-han-encontrado-en-el-cuerpo-humano1.htmlSi no te sientes bien con la dona que comiste en el almuerzo, relájate, puede empeorar ... Al menos no te comiste las pilas, y, por cierto, algunas personas logran tragarlas. Tal vez, por supuesto, sean bajos en calorías, pero es poco probable que brinden beneficios especiales al cuerpo. Y si crees que picar pilas es raro, te sorprenderás aún más, porque este número está dedicado a objetos que se han encontrado en cuerpos humanos. Y las baterías parecerán deliciosas en comparación. (Aunque, por supuesto, vale la pena señalar que algunos de los elementos de este número no ingresaron al cuerpo a través de la boca).

Cuchara.
Bala.
Anillo de bodas.
monedas
Imanes.
Guijarro.
Llave.
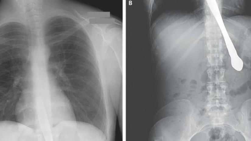
Bolígrafo.
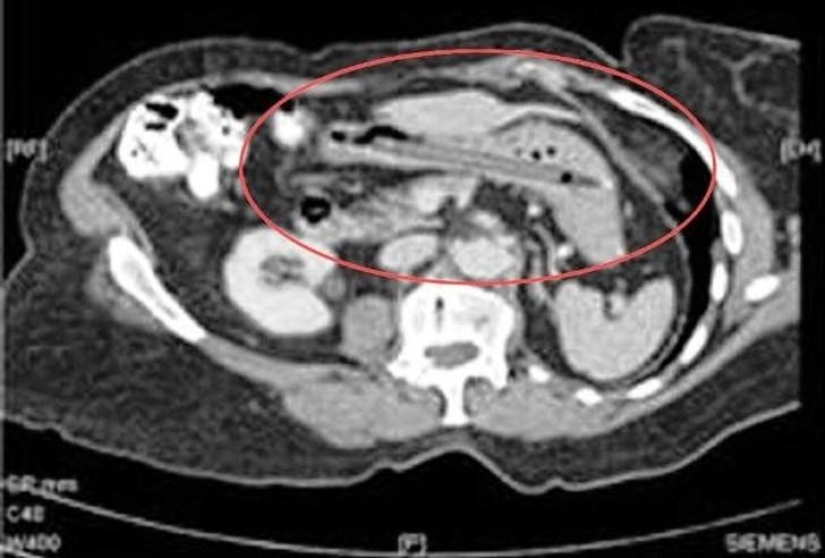
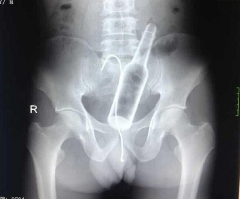
Botella.
Clavo.
Ranas vivas.
Cuchillería.
¡Y aquí están las pilas!
Granada.
Bulbo.
Tenedor.
Enorme ovillo de lana.
Embrión gemelo.
Muelles de cama.
Teléfono móvil.
Hélice de avión.
Pinzas.
metanfetaminas
Tijeras.
Anguila viva.
Artículos Recientes
Esta colección de fotos complacerá claramente al pequeño perfeccionista interior que vive en cada uno de nosotros. No importa ...
Sí, Mascotas beneficio de nuestra salud y está comprobado por la ciencia. Su misma existencia, sin duda, nos hace más felices, ...

Hay muchos lugares en el mundo donde solo los elegidos pueden estar. Las ciudades de La Meca y Medina en Arabia Saudita son bien ...