The most incredible objects that have been found in the human body
Categories: Health and Medicine
By Pictolic https://www.pictolic.com/article/the-most-incredible-objects-that-have-been-found-in-the-human-body1.htmlIf you don't feel good about the donut you ate for lunch, relax - it can get worse ... At least you didn't eat the batteries - and, by the way, some people manage to swallow them. Maybe, of course, they are low-calorie, but they are unlikely to bring special benefits to the body. And if you think that snacking on batteries is weird, then you will be even more surprised, because this issue is dedicated to objects that have been found in human bodies. And the batteries in comparison with them will seem yummy to you. (Although, of course, it's worth noting that some of the items in this issue didn't enter the body through the mouth at all.)

Spoon.
Bullet.
Wedding ring.
Coins.
Magnets.
Pebble.
Key.
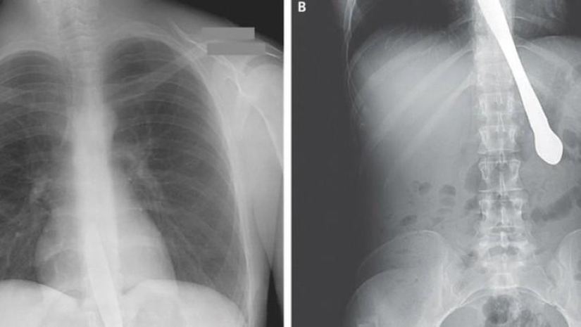
Pen.
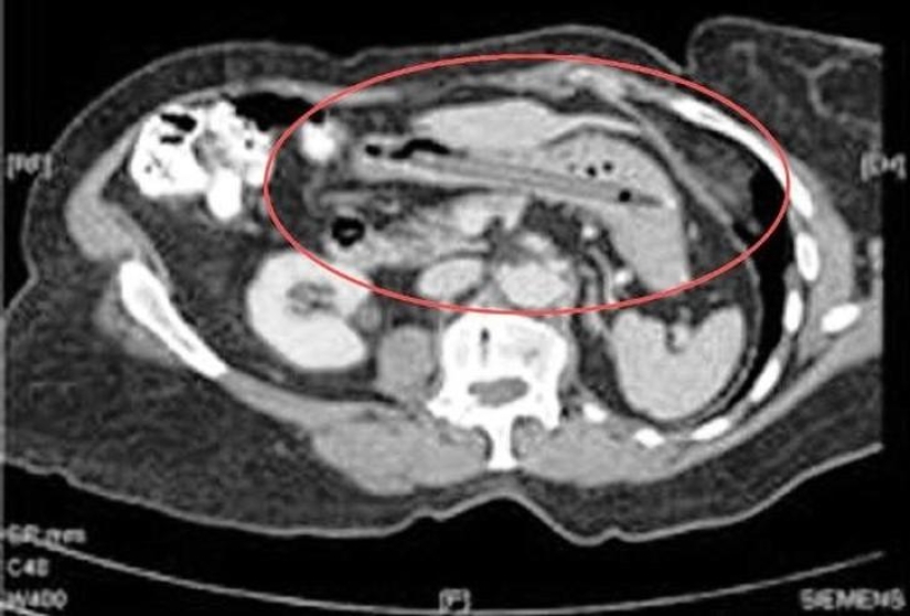
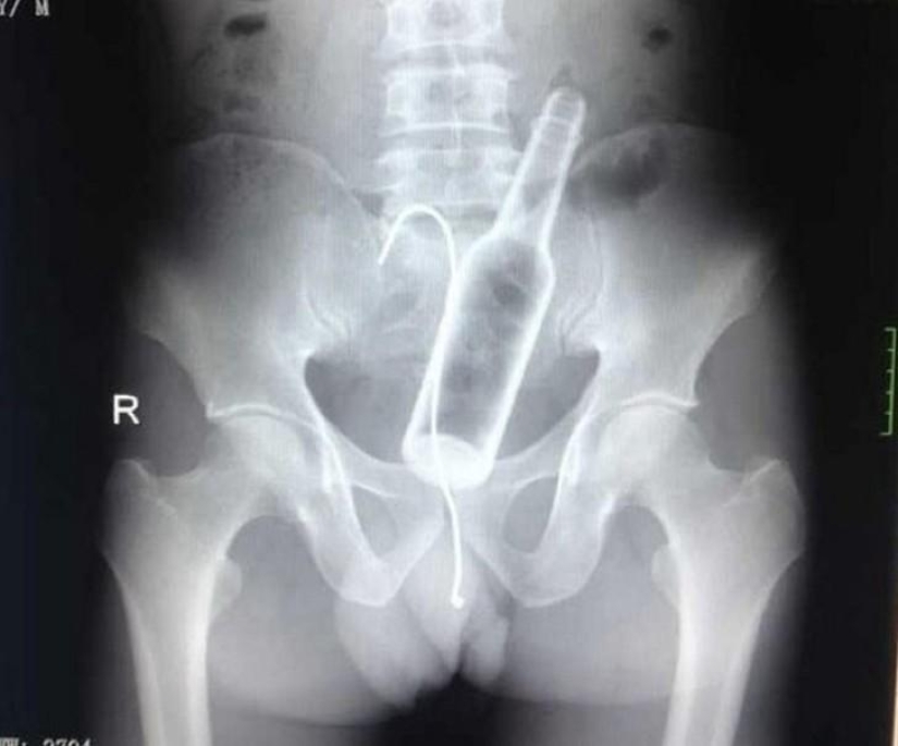
Bottle.
Nail.
Live frogs.
Cutlery.
And here are the batteries!
Grenade.
Bulb.
Fork.
Huge ball of wool.
Twin embryo.
Bed springs.
Mobile phone.
Aircraft propeller.
Forceps.
methamphetamines.
Scissors.
Live eel.
Recent articles
This collection of photos will clearly please the little inner perfectionist who lives in each of us. It doesn't matter how much ...
Yes, Pets benefit our health and it is proven by science. Their very existence certainly makes us happier, but also prolongs life. ...

There are many places in the world where only the chosen ones can be. The cities of Mecca and Medina in Saudi Arabia are well known ...