Humor festivo-sonrisa estropeada: el alcohol destruye los dientes peor que los dulces
Categorias: Comida y Bebidas | Europa | Fiestas y festivales | Salud y Medicina | Sociedad
Por Pictolic https://www.pictolic.com/es/article/humor-festivo-sonrisa-estropeada-el-alcohol-destruye-los-dientes-peor-que-los-dulces.html¿Qué mesa navideña está completa sin alcohol? Resulta que el alcohol no solo levanta el estado de ánimo, sino que también estropea los dientes, y es peor que los dulces. Un famoso dentista londinense compartió fotos impactantes de pacientes cuyas sonrisas quedaron irremediablemente eclipsadas por la adicción a las bebidas fuertes. Aprenda a proteger sus dientes de los efectos nocivos del alcohol de nuestro material.
Las fiestas y el alcohol siempre van de la mano. Las encuestas muestran que los hombres beben en promedio alrededor de seis porciones de bebidas alcohólicas por día festivo, y las mujeres, alrededor de cuatro.
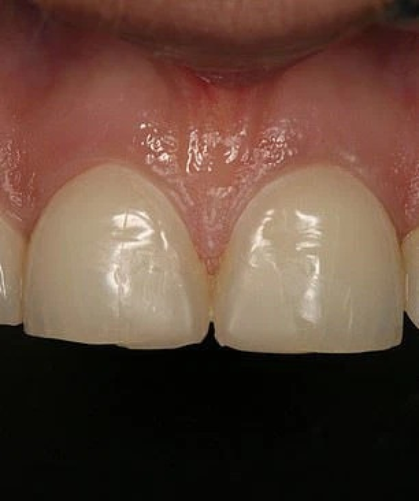
Erosión de los dientes en un amante del vino de 36 años
Un conocido dentista británico advierte que esto puede afectar negativamente el estado de los dientes, provocar erosión y pérdida de blancura del esmalte.
Los dientes del paciente están astillados debido a la adicción al alcohol
Los cócteles son los que más daño causan. El prosecco, el champán y el vino blanco afectan negativamente al esmalte.
Los bordes de los dientes se destruyen bajo la influencia del ácido y el azúcar contenidos en las bebidas fuertes
El dentista, que tiene 23 años de práctica a sus espaldas, dice que los cócteles alcohólicos a base de jugo de limón y soda dulce destruyen el esmalte debido al contenido de azúcar y ácido. El médico se centra en el hecho de que la pérdida de una parte de un diente o de un incisivo entero es irrecuperable. Se debe mantener una sonrisa mientras los dientes estén sanos.La saliva protege los dientes de los efectos nocivos del alcohol y el azúcar, pero tarda hasta media hora en producirlos. Si un amante del alcohol bebe bebidas fuertes en fiestas durante varias horas, el cuerpo no tiene oportunidad de reponer sus reservas de saliva. Esto conduce al ablandamiento del esmalte dental y al daño dental.
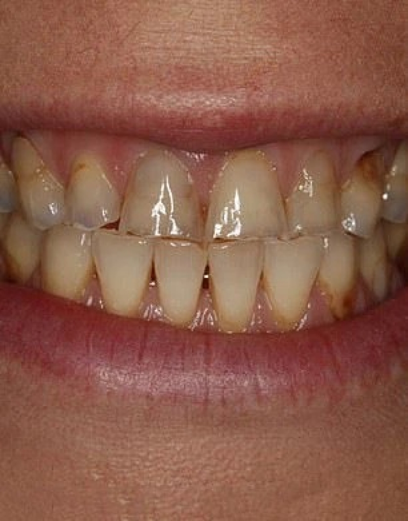
Restos de dientes de un paciente de 47 años después del uso frecuente de cócteles
Los vinos, el prosecco y el champán también son perjudiciales para los incisivos debido al aumento de la acidez. El Dr. Orr añade que el nivel de PH en los vinos varía: es difícil de determinar con exactitud, pero los vinos blancos suelen ser los más ácidos.
Las mezclas alcohólicas son un veredicto para tus dientes
Los vinos tintos también son agrios, y los dulces son aún más dañinos debido al alto contenido de azúcar content.To proteja sus dientes de los efectos dañinos del alcohol, el dentista recomienda usar una pajita y enjuagarse ocasionalmente la boca con agua después de beber. Anímate sin estropear tu sonrisa, porque te será útil después de las vacaciones.
El dentista brasileño ayuda a los pobres a brillar con una sonrisa blanca como la nieve. Trata sus dientes de forma gratuita y cambia la vida de sus pacientes para mejor.
Palabras clave: Alcohol | Fiestas | Doctor | Dientes | ácido | Cóctel | Londres | Pacientes | Destrucción | Azúcar | Dentista | Sonrisa | Fotos
Publicar artículo de noticiasArtículos Recientes
Ya es hora de admitir que toda esta idea hipster ha ido demasiado lejos. El concepto se ha vuelto tan popular que incluso los ...
Hay una percepción de que las personas sólo utilizan el 10% de su cerebro potencial. Pero los héroes de nuestra revisión, al ...
Artículos relacionados
Muchos están familiarizados con un fenómeno como las moscas frente a sus ojos. Estos son puntos fangosos flotantes y puntos de ...
A menudo, los actores en las películas tienen que beber o incluso usar drogas ilegales. Y si todas estas sustancias fueran reales, ...
El vermut es considerado uno de los más románticos y misteriosos de bebidas alcohólicas. El nombre de esta base de hierbas vino ...

Año Nuevo es una época para sorprender y deleitar a los seres queridos, no solo con regalos, sino también con una presentación ...