Con una sonrisa para toda la vida: cómo una chica se transformó con dientes terribles
Categorias: Europa | Salud y Medicina | Sociedad
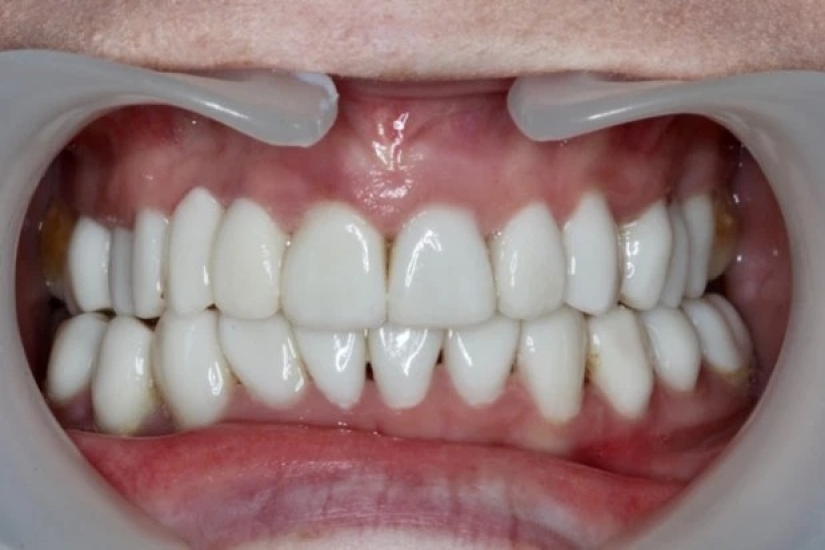
Por Pictolic https://www.pictolic.com/es/article/con-una-sonrisa-para-toda-la-vida-cmo-una-chica-se-transform-con-dientes-terribles.htmlLos dientes de Shannon Wilde, de 26 años, estaban tan dañados que los médicos le aconsejaron que insertara prótesis. La niña nunca prestó la debida atención a la higiene bucal, por lo que sus dientes se volvieron amarillos y se pudrieron. La mujer británica recurrió a varios dentistas, y uno de ellos se comprometió a devolver su hermosa sonrisa sin prótesis. Lo que salió de ella — mirar más allá.
Shannon Wilde, residente de Epsom, estaba tan avergonzada por su sonrisa que usó coronas falsas para ocultar la terrible condición de sus dientes. Durante mucho tiempo tuvo miedo de ir al dentista, y cuando se animó, escuchó a los especialistas que tendría que usar dentaduras postizas.
La niña de 26 años nunca ha cuidado sus dientes. Después de un viaje sin éxito al dentista, se asustó de los médicos y dejó de visitarlos por completo. Con el tiempo, la mujer británica comenzó a preocuparse por el dolor severo, y se vio obligada a consultar a un especialista. El primer dentista a quien Shannon consiguió una cita le dijo que la única salida en su situación era reemplazar completamente sus dientes dañados con dentaduras postizas.

Luego, la mujer británica acudió a un especialista en higiene oral que le enseñó cómo cuidar adecuadamente sus dientes y encías. La niña comenzó a seguir el programa Invisalign, que duró 9 meses.



Los aparatos ortopédicos ayudan a mejorar no solo su sonrisa, sino también su vida. Aquí hay ejemplos reales de cómo las personas se han transformado después de visitar al dentista.
Palabras clave: Dolor | Ortodoncia | Reino unido | Doctor | Higiene | Chica | Antes y después | Dientes | Tratamiento | Dentista | Odontología | Transformación | Sonrisa
Publicar artículo de noticiasArtículos Recientes
Ya es hora de admitir que toda esta idea hipster ha ido demasiado lejos. El concepto se ha vuelto tan popular que incluso los ...
Hay una percepción de que las personas sólo utilizan el 10% de su cerebro potencial. Pero los héroes de nuestra revisión, al ...
Artículos relacionados
La mayoría de nosotros piensa que el color de la cáscara del huevo no juega ningún papel, y es posible que no preste atención. ...
El fotógrafo documental estadounidense Bruce Davidson llegó al Reino Unido en 1960 por un par de meses para la revista Queen. La ...
No es de extrañar que el cabello largo se haya considerado un adorno de mujer durante muchos siglos. Las chicas con rizos de lujo ...

Año Nuevo es una época para sorprender y deleitar a los seres queridos, no solo con regalos, sino también con una presentación ...