With a smile for life: how a girl transformed with terrible teeth

With a smile for life: how a girl transformed with terrible teeth

Categories: Europe | Health and Medicine | Society

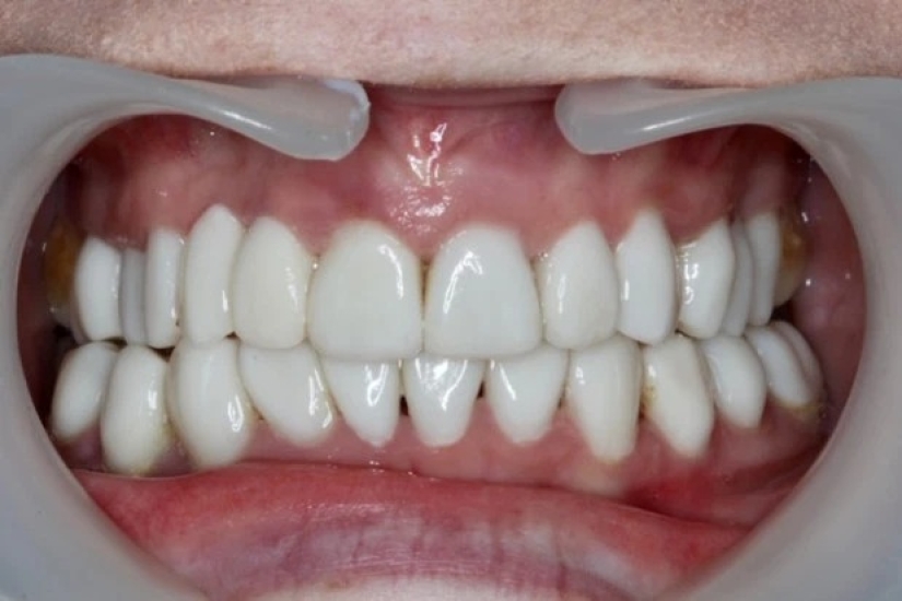
The teeth of 26-year-old Shannon Wilde were so damaged that doctors advised her to insert prostheses. The girl never paid proper attention to oral hygiene, which is why her teeth turned yellow and became rotten. The British woman turned to several dentists, and one of them undertook to return her beautiful smile without prosthetics. What came out of it — look further.With a smile for life: how a girl transformed with terrible teethEpsom resident Shannon Wilde was so embarrassed by her smile that she wore false crowns to hide the terrible condition of her teeth. For a long time she was afraid to go to the dentist, and when she plucked up the courage, she heard from specialists that she would have to wear dentures.

The 26-year-old girl has never taken care of her teeth. After one unsuccessful trip to the dentist, she became afraid of doctors and stopped visiting them altogether. Over time, the British woman began to worry about severe pain, and she was forced to consult a specialist. The first dentist to whom Shannon got an appointment told her that the only way out in her situation was to completely replace her damaged teeth with dentures.

With a smile for life: how a girl transformed with terrible teeth

Then the British woman went to an oral hygiene specialist who taught her how to properly care for her teeth and gums. The girl started following the Invisalign program, which lasted 9 months.

With a smile for life: how a girl transformed with terrible teeth

With a smile for life: how a girl transformed with terrible teeth

With a smile for life: how a girl transformed with terrible teeth

Braces help to improve not only your smile, but also your life. Here are real examples of how people have been transformed after visiting the dentist.

Keywords: Pain | Braces | Uk | Doctor | Hygiene | Girl | Before and after | Teeth | Treatment | Dentist | Dentistry | Transformation | Smile

Post News Article

Recent articles

DIY Edible Christmas Tree
DIY Edible Christmas Tree

New Year's is a time to surprise and delight loved ones not only with gifts but also with a unique presentation of the holiday ...

20 restaurants that went too far in trying to be original
20 restaurants that went too far in trying to be original

It's high time to admit that this whole hipster idea has gone too far. The concept has become so popular that even restaurants have ...

18 ingenious inventions, the authors of which should work in NASA
18 ingenious inventions, the authors of which should work in NASA

There is a perception that people only use 10% of their brain potential. But the heroes of our review, apparently, found a way to ...

Related articles

Why is it better to buy white and not brown eggs
Why is it better to buy white and not brown eggs

Most of us think that the color of the eggshell does not play any role and it is possible not to pay attention. But it's not and ...

Britain of the 1960s in the lens of the legendary Bruce Davidson
Britain of the 1960s in the lens of the legendary Bruce Davidson

American documentary photographer Bruce Davidson came to the UK in 1960 for a couple of months on the assignment of Queen magazine. ...

Braid-beauty: women for whom hair has become a pride
Braid-beauty: women for whom hair has become a pride

No wonder long hair has been considered a woman's adornment for many centuries. Girls with luxurious curls attract attention and ...