Refutation of the famous "scientific facts"
Categories: Science
By Pictolic https://www.pictolic.com/article/refutation-of-the-famous-scientific-facts.htmlSo, in this issue we will refute scientific facts, or rather what some mistakenly consider as such. These myths, grandmother's tales and misunderstandings have been passed down from generation to generation, but it's time to put an end to this. As they say, forget everything you were taught at school - it's time to figure out what's what!
(Total 35 photos)
Source: businessinsider.com

1. The well-known noble mineral diamond is not always formed from compacted coal. Most diamond deposits are located at a depth of more than one hundred and fifty kilometers, while coal deposits are at a depth of only about three kilometers.

2. “Blind as a bat” is not quite right, or rather, not at all right expression. Although many bats use echolocation to navigate, all of them can see.

3. Poinsettia won't kill you or your pets, although it's still not worth eating. Ingestion of poinsettia flowers can cause mild malaise and digestive problems.

4. If you throw a one-cent coin from the Empire State Building directly at a person, it will not kill him. The penny will fall at 80 km/h, which is not fast enough to kill.

5. Blondes and redheads won't die out. Genes don't die out. Recessive genes, such as those for red or blonde hair, can be passed down from generation to generation without showing up as hair color.

6. Hair and nails do not continue to grow after death. Rather, the skin shrinks and dries out, which makes it look like hair and nails continue to grow.

7. The definition of the nature of a cold by the color of the snot is fundamentally wrong. Both bacterial and viral disease can stain nasal mucus from clear yellow to deep green.

8. Pure water doesn't conduct electricity that well. The reason you can get electrocuted through water is because the water contains minerals, dirt, and other substances that conduct electricity.

9. Frogs and toads will not “give” you warts, but if you shake hands with a person with warts, you can get infected. The human papillomavirus is what causes warts and is unique to humans.

10. Ostriches do not stick their heads in the sand in case of danger. They don't bury their heads in the sand at all. In case of danger, ostriches fall to the ground and pretend to be dead.

11. With a lack of oxygen, the blood does not acquire a blue color, but darkens almost to burgundy. The veins, translucent through the skin, simply appear blue.

12. The use of sugar does not cause hyperactivity and overexcitation in children. In several studies, children were given drinks with and without sugar, but this did not affect the level of arousal.

13. You can put an egg on the “head” on any day of the year, and not just on the day of the spring solstice. All you need is steady hands and an egg with a textured shell.

14. Cracking your knuckles - yes, it can irritate your office colleagues, but no, it won't lead to arthritis. Osteoarthritis appears for other reasons - age, injury, obesity and genetic factors.

15. Organic food also contains pesticides. However, their content in products of organic and inorganic origin is so small that it does not pose a threat.

16. Stress doesn't play a big role in chronic high blood pressure. Acute stress can temporarily increase blood pressure, but in general it is not the main cause of hypertension. Things like genetics, smoking and poor diet can be major factors.

17. Lightning strikes twice in the same place. In some places, such as the Empire State Building, lightning strikes up to 100 times a year.

18. Lemmings don't commit mass suicide. During their migrations, they sometimes fall off cliffs if they enter unfamiliar territory.

19. A person is not born with all the brain cells, some of them appear during life. There is evidence that at least several areas of the brain continue to produce new cells into adulthood. This is called neurogenesis.

20. Many would call this dinosaur a brontosaurus - even Michael Crichton did it in the movie Jurassic Park. However, it is actually called Apatosaurus. This myth was spawned by two warring paleontologists during the Bone Wars 130 years ago.

21. One gene does not equal one protein. Many genes can produce numerous different proteins, depending on how the messenger RNA from the gene is folded into sequence and distributed in the cell. Some genes do not produce proteins at all.

22. Goldfish have a good memory. They can remember certain events for months, not seconds as many think.

23. HIV was not transmitted to humans through sexual contact between a human and a monkey, as many people think. Most likely, it was contact through the blood - for a very long time, primates were hunted for meat.

24. Dogs and cats can't see in grayscale. They can distinguish between blue and green. Dogs have a wider field of vision than humans, but they can't see straight ahead as far as we can.

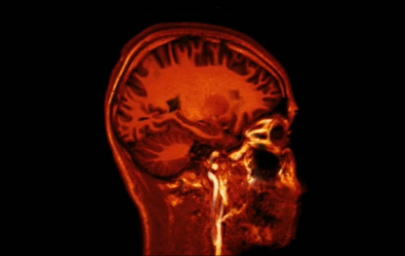
25. People don't use "only 10% of their brain." We use the whole brain for different purposes at different times. We could not survive if 90% of the brain was not used.

26. Only a very small percentage of people with Tourette's syndrome yell swear words. The syndrome includes many more symptoms - for example, involuntary movements and various sound tics. The impulsive pronunciation of obscene words is called coprolalia.

27. At the dawn of the Middle Ages, almost all scientists believed that the Earth was round, not flat. The myth of this ignorance of medieval pundits originated in the 1940s and was started by members of the British Historical Association.

28. Sharks also suffer from cancer, and their cartilage is in no way able to help in the fight against cancer. William Lane told the world about the miraculous properties of shark cartilage. By the way, he was the seller of this "mega-effective anti-cancer agent."

29. The northern hemisphere of the Earth is not closer to the Sun in summer. On the contrary, in winter the Earth (at the beginning of January) approaches the Sun at a distance of 147 million km, and in summer (at the beginning of July) it moves away from it by 152 million km. Summer in the northern hemisphere is warmer because the Earth is tilted at an angle to the Sun, so its energy is directed directly at it.

30. The Great Wall of China is not the only man-made structure visible from space. It all depends on your concept of space. For example, only the lights of megacities are visible from the Moon.

31. There is no such thing as "photographic memory". There is only a very good memory. Even people with exceptional memories do not remember events in enough detail to simulate a camera.

32. Microwave radiation does not cause cancer. The microwave just heats up the food. Only certain types of radiation cause cancer, and even then it all depends on the dose: sunlight can lead to skin cancer, but the right amount of it helps our body produce vitamin D.

33. The fact that McDonald's burgers don't rot is just a myth. Under the "right" conditions - for example, with enough water and heat - conditions are created in which microorganisms break down food.

34. When you shave your hair, it doesn't get thicker, it just seems coarser for a while. This is because the ends of the bristles are no longer tapered due to the cut.

35. It doesn't take seven years to digest chewing gum. In fact, it is completely indigestible, but our body normally skips it for several hours.
Recent articles
It's high time to admit that this whole hipster idea has gone too far. The concept has become so popular that even restaurants have ...
There is a perception that people only use 10% of their brain potential. But the heroes of our review, apparently, found a way to ...
Related articles
Yes, Pets benefit our health and it is proven by science. Their very existence certainly makes us happier, but also prolongs life. ...
It is not 100% to say that tomorrow is with us nothing bad will happen, because often life throws up surprises when least expected. ...
One of the most famous sayings of Horace says: "no One can know everything!". And we completely agree with his opinion. Every day, ...

New Year's is a time to surprise and delight loved ones not only with gifts but also with a unique presentation of the holiday ...