Born twice: doctors took the baby out of the womb to operate and bring it back
Categories: Children | Health and Medicine
By Pictolic https://www.pictolic.com/article/born-twice-doctors-took-the-baby-out-of-the-womb-to-operate-and-bring-it-back.htmlWhen Lynley Bomer grows up, she will celebrate her birthday twice a year. This is a child who was born twice: first, doctors temporarily took her out of her mother's womb to perform a life-saving operation, and after 12 weeks she was born on time.
(Total of 9 photos)
Source: Daily Mail

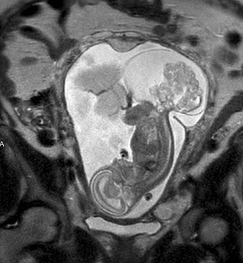
When a resident of Texas, Margaret Bomer, did another ultrasound at the 16th week of pregnancy, doctors told her that the child had a tumor in the coccyx area. The only hope for salvation was an operation during which doctors had to open the womb and take out a fetus weighing 538 g for 20 minutes, and then return it back. The girl's chances were 50/50.

After the operation, Margaret was put in the hospital for preservation, and the baby successfully developed inside the mother for another 12 weeks before the full 36 weeks of pregnancy. Lynley Hope Bomer was born for the second time by caesarean section. At birth, she weighed 2,400 g.

Margaret was initially shocked by the results of the examination and prepared for the worst. "They saw something in the picture, the doctor came in and told us that the child had serious problems, he had a sacrococcygeal teratoma. This shocked and scared us terribly, because we didn't know what this long word meant and what the essence of the diagnosis was."

According to Dr. Darrell Kass, co—director of the Texas Children's Embryonic Center, teratoma is the most common tumor in newborns that they encounter. "Although this is the most common tumor, it is still quite rare," the doctor says. The cause of its development is unknown, although it occurs in girls four times more often than in boys. Neoplasm occurs once per 30-70 thousand children.
Sometimes doctors postpone surgery until birth, but in Lynley's case, the tumor took away the fetus' blood circulation. "In some cases, the tumor wins, and the heart simply cannot work anymore, acute heart failure occurs, and the child dies," the doctor explains.

As the tumor grew, the child's condition worsened, and the doctors had no choice but to act. Termination of pregnancy was one of the options, but such a decision would have been very difficult to make: at first, Margaret was pregnant with twins, but one of the children died before the second trimester. "Lynley had little chance. At the 23rd week, the tumor blocked the work of her heart and threatened heart failure, so the choice was between letting the tumor take over her body and giving her a chance to survive. It was a simple decision for us: we wanted to give her life," the girl's mother says.

By the time doctors got permission for the operation, Lynley was about 24 weeks old and the tumor was the size of the fetus itself. The operation lasted five hours, but according to Dr. Kass, the part that concerns the child lasts only about 20 minutes. Most of the time it takes to open the uterus. As soon as the surgeons got to the baby, they lifted him up so that he hung in the air. "In fact, the fetus turns out to be outside literally, all the amniotic fluid flows out, and this is a really impressive sight," the doctor says.

During the operation, Lynley's heart slowed down almost to a complete stop, but her life was supported by a separate specialist while surgeons cut out the neoplasm. When they had done all they could, the doctors put Lynley back in the uterus and sewed her up as tightly as possible. "It's like a miracle when you can open the uterus, sew it back up, and everything keeps working," says Dr. Cass.

When Lynley was eight days old, she had another appointment with surgeons on the operating table. Doctors removed small fragments of the tumor, which they could not reach the first time and which began to grow again. A few weeks later, after a full recovery, Margaret was allowed to take Lynley home. "It was actually her second birth. I was ready to take all these risks to give her a chance at life," says the happy mother.

Keywords: Newborns | Surgery | Tumor | Baby | Childbirth | Womb
Post News ArticleRecent articles
It's high time to admit that this whole hipster idea has gone too far. The concept has become so popular that even restaurants have ...
There is a perception that people only use 10% of their brain potential. But the heroes of our review, apparently, found a way to ...
Related articles
Many are familiar with such a phenomenon as flies in front of their eyes. These are floating muddy spots and dots of different ...
This branch of medicine as transplantation, there are more than a hundred years. Over this time there have been many successful and ...
An old saying says that you can't buy health. It is not entirely true, because health can be well improved, however, for a lot of ...

New Year's is a time to surprise and delight loved ones not only with gifts but also with a unique presentation of the holiday ...