35 famous "scientific facts" and their refutation
Categories: Science
By Pictolic https://www.pictolic.com/article/35-famous-scientific-facts-and-their-refutation.htmlSo, in this issue we will refute scientific facts, or rather what some mistakenly believe to be such. These myths, old wives' tales and misunderstandings have been passed down from generation to generation, but it's time to put an end to it. As they say, forget everything you were taught at school — it's time to figure out what's what!


1. The well-known noble mineral diamond is not always formed from compacted coal. Most diamond deposits are located at a depth of more than one hundred and fifty kilometers, while coal deposits are at a depth of only about three kilometers.

2. "Blind as a bat" is not quite the right, or rather, not at all the right expression. Although many bats use echolocation to orient themselves in space, they can all see.

3. Poinsettia will not kill you or your pets, although it is still not worth eating. Eating poinsettia flowers inside can cause mild malaise and digestive problems.

4. If you throw a one-cent coin from the Empire State Building directly at a person, it will not kill him. The penny will fall at a speed of 80 km/h, which is not fast enough to kill.

5. Blondes and redheads will not "die out". Genes don't die out. Recessive genes, such as red or blonde hair genes, can be passed down from generation to generation without appearing as hair color.

6. Hair and nails do not continue to grow after death. Rather, the skin shrinks and shrivels, which makes it seem from the outside that the hair and nails continue to grow.

7. The definition of the nature of colds by the color of snot is fundamentally wrong. Both bacterial and viral diseases can stain the mucous discharge from the nose in a color from transparent yellow to rich green.

8. Clean water does not conduct electricity so well. The reason why you can get an electric shock through water is that there are minerals, dirt and other substances in the water that conduct electricity.

9. Frogs and toads will not "give" you warts, but if you shake hands with a person with warts, they can get infected. Human papillomavirus is what causes warts, and it is unique to humans.

10. Ostriches do not stick their heads in the sand in case of danger. They don't bury their heads in the sand at all. In case of danger, ostriches fall to the ground and pretend to be dead.

11. When there is a lack of oxygen, the blood does not acquire a blue color, but darkens almost to burgundy. Veins, shining through the skin, just seem blue.

12. Sugar consumption does not cause hyperactivity and overexcitation in children. During several studies, children were given drinks with and without sugar, but this did not affect the level of arousal.

13. You can put an egg on the "head" on any day of the year, and not just on the day of the spring solstice. To do this, you only need confident hands and an egg with a textured shell.

14. Cracking your knuckles — yes, it may annoy your office colleagues, but no, it won't lead to arthritis. Osteoarthritis appears for other reasons — age, injury, obesity and genetic factors.

15. Organic food also contains pesticides. However, their content in products of organic and inorganic origin is so small that it does not pose a threat.

16. Stress does not play a big role in chronic high blood pressure. Acute stress can temporarily raise blood pressure, but in general it is not the main cause of hypertension. Things like genetics, smoking, and poor nutrition can be major factors.

17. Lightning strikes twice in the same place. In some places, such as the Empire State Building, lightning strikes up to 100 times a year.

18. Lemmings do not commit mass suicide. During their migrations, they sometimes fall off cliffs if they enter unfamiliar territory.

19. A person is not born with all brain cells, some of them appear during life. There is evidence that at least a few areas of the brain continue to produce new cells in adulthood. This is called neurogenesis.

20. Many would call this dinosaur a brontosaurus — even Michael Crichton did it in the movie "Jurassic Park". However, it is actually called Apatosaurus. This myth was created by two feuding paleontologists during the Bone Wars 130 years ago.

21. One gene does not equal one protein. Many genes can produce numerous different proteins, depending on how the information RNA from the gene is sequenced and distributed in the cell. Some genes do not produce proteins at all.

22. Goldfish have a good memory. They can remember certain events for months, not seconds, as many people think.

23. HIV was transmitted to humans not through sexual contact between a man and a monkey, as many people think. Most likely, it was contact through blood — primates have been hunted for meat for a very long time.

24. Dogs and cats do not see in shades of gray. They can distinguish between blue and green. Dogs have a wider field of vision than humans, but they can't see straight ahead as far as we can.

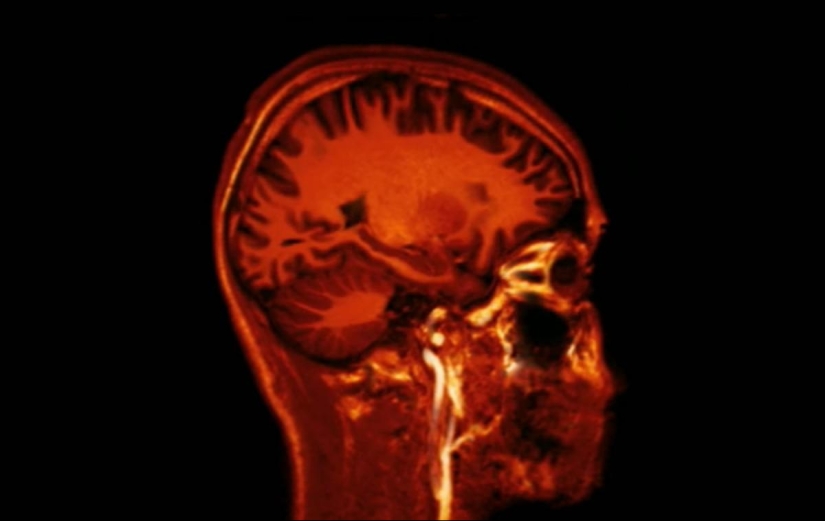
25. People don't use "only 10% of their brain." We use the whole brain for different purposes at different times. We wouldn't be able to survive if 90% of the brain wasn't used.

26. Only a very small percentage of people with Tourette's syndrome shout swear words. The syndrome includes many more symptoms — for example, involuntary movements and various sound tics. Impulsive pronunciation of obscene words is called coprolalia.

27. At the dawn of the Middle Ages, almost all scientists believed that the Earth was round, not flat. The myth of such ignorance of medieval pundits originated in the 1940s, and it was started by members of the British Historical Association.

28. Sharks also suffer from cancer, and their cartilage is not able to help in the fight against cancer. The sensational news about the miraculous properties of shark cartilage was told to the world by William Lane. By the way, he was also the seller of this "mega-effective anticancer agent".

29. The northern hemisphere of the Earth is no closer to the Sun in summer. On the contrary, in winter the Earth (in early January) approaches the Sun at a distance of 147 million km, and in summer (in early July) moves away from it by 152 million km. In summer, it is warmer in the northern hemisphere because the Earth is tilted to the Sun at an angle, so its energy is directed directly at it.

30. The Great Wall of China is not the only artificial structure visible from space. It all depends on your concept of space. For example, only the lights of megacities are visible from the moon.

31. There is no such thing as "photographic memory". There is only a very good memory. Even people with exceptional memory do not remember events with sufficient detail to simulate a camera.

32. Microwave radiation does not cause cancer. The microwave just heats up the food. Only some types of radiation cause cancer, and even then it all depends on the dose: solar radiation can lead to skin cancer, but its properly dosed amount helps our body produce vitamin D.

33. The fact that McDonald's burgers don't rot is just a myth. Under the "right" conditions — for example, with sufficient water and heat — conditions are created in which microorganisms break down food.

34. When you shave your hair, it doesn't get thicker, it just seems rougher for a while. This is because the tips of the bristles cease to be cone-shaped due to the cut.

35. It does not take seven years to digest chewing gum. Actually, it is completely indigestible, but our body normally passes it for several hours.
Recent articles
It's high time to admit that this whole hipster idea has gone too far. The concept has become so popular that even restaurants have ...
There is a perception that people only use 10% of their brain potential. But the heroes of our review, apparently, found a way to ...

New Year's is a time to surprise and delight loved ones not only with gifts but also with a unique presentation of the holiday ...