Nacido dos veces: los médicos sacaron al bebé del útero para operarlo y traerlo de vuelta
Categorias: Niños | Salud y Medicina
Por Pictolic https://www.pictolic.com/es/article/nacido-dos-veces-los-medicos-sacaron-al-bebe-del-tero-para-operarlo-y-traerlo-de-vuelta.htmlCuando Lynley Bomer crezca, celebrará su cumpleaños dos veces al año. Esta es una niña que nació dos veces: primero, los médicos la sacaron temporalmente del útero de su madre para realizar una operación que le salvó la vida, y después de 12 semanas nació a tiempo.
(Total de 9 fotos)
Fuente: Daily Mail

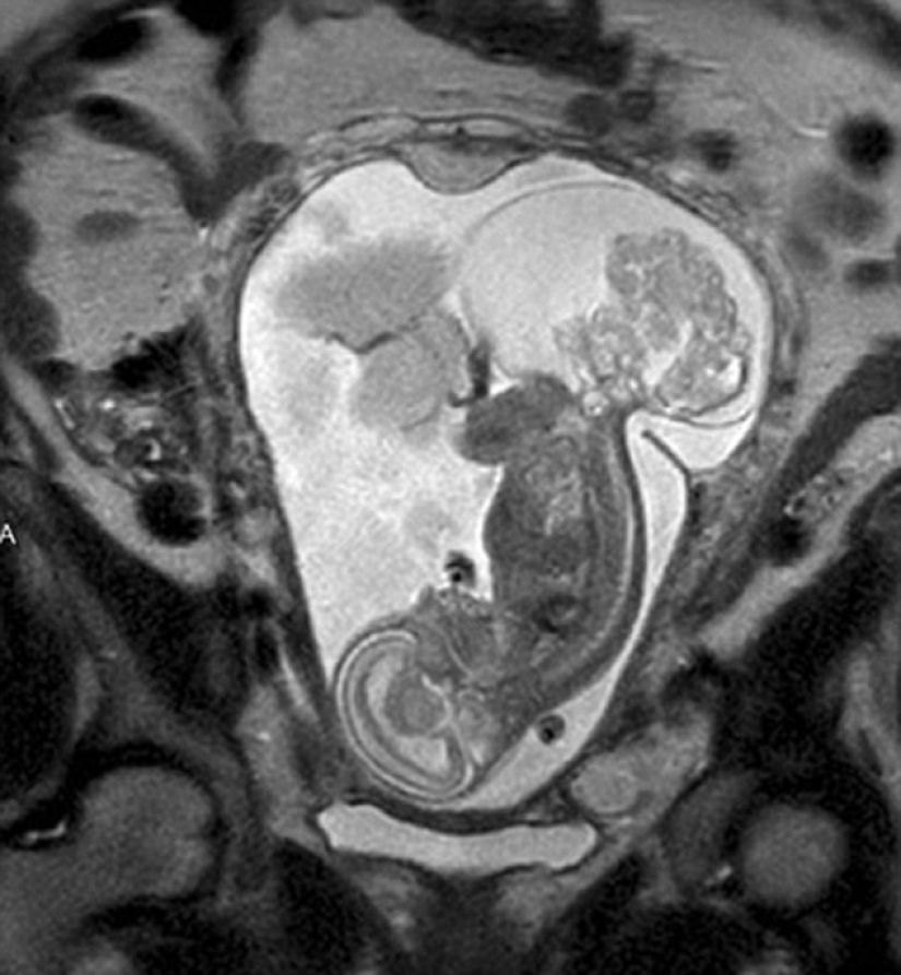
Cuando una residente de Texas, Margaret Bomer, hizo otro ultrasonido en la semana 16 de embarazo, los médicos le dijeron que el niño tenía un tumor en el área del cóccix. La única esperanza de salvación era una operación durante la cual los médicos tuvieron que abrir el útero y extraer un feto que pesaba 538 g durante 20 minutos, y luego devolverlo. Las posibilidades de la chica eran 50/50.

Después de la operación, Margaret fue ingresada en el hospital para su preservación, y el bebé se desarrolló con éxito dentro de la madre durante otras 12 semanas antes de las 36 semanas completas de embarazo. Lynley Hope Bomer nació por segunda vez por cesárea. Al nacer, pesó 2.400 g.

Margaret se sorprendió inicialmente por los resultados del examen y se preparó para lo peor. "Vieron algo en la foto, el médico entró y nos dijo que el niño tenía problemas serios, tenía un teratoma sacrococcígeo. Esto nos sorprendió y asustó terriblemente, porque no sabíamos qué significaba esta palabra larga y cuál era la esencia del diagnóstico."

Según el Dr. Darrell Kass, codirector del Texas Children's Embryonic Center, el teratoma es el tumor más común en los recién nacidos que encuentran. "Aunque este es el tumor más común, todavía es bastante raro", dice el médico. Se desconoce la causa de su desarrollo, aunque ocurre en niñas cuatro veces más a menudo que en niños. La neoplasia ocurre una vez por cada 30-70 mil niños.
A veces, los médicos posponen la cirugía hasta el nacimiento, pero en el caso de Lynley, el tumor le quitó la circulación sanguínea al feto. "En algunos casos, el tumor gana y el corazón simplemente ya no puede funcionar, se produce una insuficiencia cardíaca aguda y el niño muere", explica el médico.

A medida que el tumor crecía, la condición del niño empeoraba y los médicos no tenían más remedio que actuar. La interrupción del embarazo era una de las opciones, pero tal decisión habría sido muy difícil de tomar: al principio, Margaret estaba embarazada de gemelos, pero uno de los niños murió antes del segundo trimestre. "Lynley tenía pocas posibilidades. En la semana 23, el tumor bloqueó el trabajo de su corazón y amenazó con insuficiencia cardíaca, por lo que la elección fue entre dejar que el tumor se apoderara de su cuerpo y darle la oportunidad de sobrevivir. Fue una decisión simple para nosotros: queríamos darle la vida", dice la madre de la niña.

Para cuando los médicos obtuvieron el permiso para la operación, Lynley tenía aproximadamente 24 semanas de edad y el tumor era del tamaño del feto. La operación duró cinco horas, pero según el Dr. Kass, la parte que concierne al niño dura solo unos 20 minutos. La mayoría de las veces se tarda en abrir el útero. Tan pronto como los cirujanos llegaron al bebé, lo levantaron para que colgara en el aire. "De hecho, el feto resulta estar afuera literalmente, todo el líquido amniótico fluye, y esta es una vista realmente impresionante", dice el médico.

Durante la operación, el corazón de Lynley se desaceleró casi hasta detenerse por completo, pero su vida fue apoyada por un especialista separado mientras los cirujanos cortaban la neoplasia. Cuando hicieron todo lo que pudieron, los médicos volvieron a colocar a Lynley en el útero y la cosieron lo más fuerte posible. "Es como un milagro cuando puedes abrir el útero, coserlo de nuevo y todo sigue funcionando", dice el Dr. Cass.

Cuando Lynley tenía ocho días, tuvo otra cita con cirujanos en la mesa de operaciones. Los médicos extrajeron pequeños fragmentos del tumor, que no pudieron alcanzar la primera vez y que comenzaron a crecer nuevamente. Unas semanas más tarde, después de una recuperación completa, a Margaret se le permitió llevar a Lynley a casa. "En realidad, fue su segundo nacimiento. Estaba lista para correr todos estos riesgos para darle una oportunidad en la vida", dice la feliz madre.

Palabras clave: Recién nacidos | Cirugía | Tumor | Bebé | Parto | útero
Publicar artículo de noticiasArtículos Recientes
La frase "el dinero no huele" es familiar para todos. Pero no todos saben que sus orígenes se remontan al lejano año 32 ...
En 1991, en el glaciar Similaun, que se encuentra en los Alpes tiroleses, dos turistas alemanes descubrieron un cuerpo ...
Artículos relacionados
Un viejo dicho dice que no se puede comprar la salud. No es del todo cierto, porque la salud se puede mejorar bien, sin embargo, ...
Como en la mayoría de los países del mundo, cuando un niño nace en una familia japonesa, los familiares vienen a visitarlo con ...
Hoy en día, cuando hay inventos tan maravillosos como pañales desechables, todo tipo de radios y monitores para bebés, pezones ...

Una fotografía ordinaria puede almacenarse durante muchas décadas, puede ser una fotografía que sacudirá su fe en la humanidad, ...