Momias incas de niños y mujeres sacrificados
Categorias: Mundo
Por Pictolic https://www.pictolic.com/es/article/momias-incas-de-ninos-y-mujeres-sacrificados.htmlLos incas practicaban ampliamente el sacrificio humano. La mayoría de las veces, los prisioneros capturados durante las guerras y las incursiones eran sacrificados. Sin embargo, especialmente mensajeros de confianza a los dioses ancestrales solo podían ser especialmente seleccionados, hermosos niños-desprovistos de discapacidades físicas y que no habían alcanzado la pubertad. Al mismo tiempo, los niños fueron estrangulados, sus cráneos fueron aplastados con porras, y fueron enterrados vivos.
Un descubrimiento sensacional hace unos años permitió a los científicos responder muchas preguntas relacionadas con los sacrificios rituales de los Incas. Luego se descubrieron tres cuerpos momificados de niños perfectamente conservados en las cumbres de los Andes. Estos niños fueron sacrificados hace más de 500 años, pero sus momias están perfectamente conservadas. Y más recientemente, los científicos han llegado a la conclusión de que la momia de una mujer, que se mantuvo en un museo alemán durante mucho tiempo, también pertenece a los Incas. Y también tenía signos de muerte violenta.


Tres momias de niños fueron descubiertas en la cima del volcán Llullayllaco, ubicado en la frontera entre Argentina y Chile. La cima del volcán se encuentra a una altitud de 6.739 m sobre el nivel del mar, y la temperatura aquí es lo suficientemente baja como para que los cuerpos se conserven, convirtiéndose en momias. Según los científicos, estos niños fueron sacrificados al volcán hace unos 500 años. En la foto: El mismo volcán de Llullaillaco, en la parte superior de la cual se encontraron las momias de los niños.

La momia de una niña de 15 años que fue sacrificada hace unos 15 años. Los científicos están casi seguros de que la niña se asfixió. Los cuerpos de tres niños sacrificados hace quinientos años están perfectamente conservados. Su cabello, piel y ADN pueden responder muchas preguntas de los científicos. Los patólogos forenses pudieron determinar exactamente cómo murieron estos niños.

La momia de una niña de 6 años también fue encontrada en la cima del volcán argentino Llulayllaco. Encontraron rastros de un rayo en su cuerpo, así que lo más probable es que muriera por eso.

Las tres momias, incluyendo esta-un niño de 7 años-se guardan en el Museo de Arqueología Alpina en Salta, Argentina.

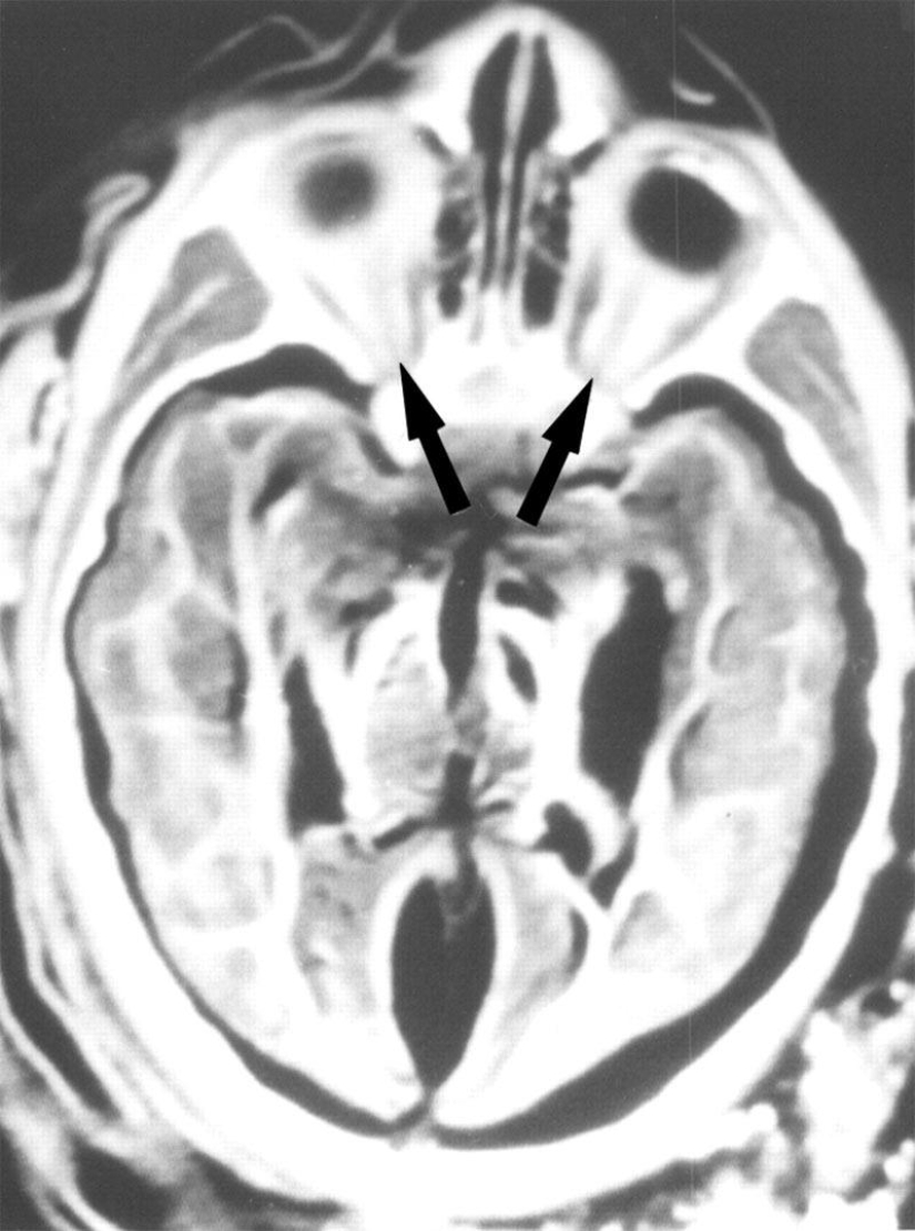
Una radiografía del cerebro de una niña de 6 años mostró que fue alcanzada por un rayo. Sus órbitas con ojos, nervios ópticos (flechas) y músculos visuales se muestran aquí.

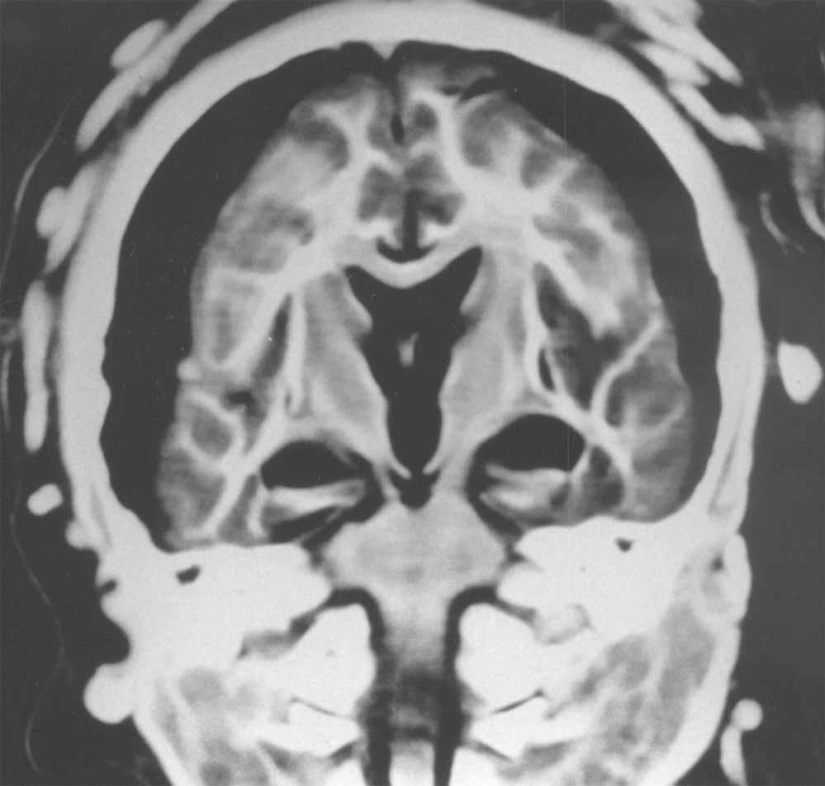
Una radiografía del cerebro de una niña de 15 años muestra que hay una separación entre la materia blanca y gris del cerebro. Las flechas apuntan al aire que rodea el cerebro.

Y esta radiografía mostró que el cerebro de un niño de 5 años estaba preservado en perfectas condiciones.

Los científicos también llegaron a la conclusión de que los niños que se preparaban para el sacrificio, en particular una niña de 15 años, recibían regularmente drogas y alcohol para hacerlos más sumisos.

En su artículo del 29 de julio de 2013 en la revista "Proceedings of the National Academy of Sciences", los científicos concluyeron que los niños consumían regularmente hojas de coca y alcohol. Una niña de 15 años fue inyectada con la mayor cantidad de drogas en su último año de vida, y el consumo máximo de hojas de coca se produjo en los últimos seis meses de su vida.

Los científicos también encontraron un trozo de coca prensada entre los dientes de la niña, lo que sugiere que la masticó para calmarse, justo antes de su muerte.

No hace mucho tiempo se supo que una misteriosa momia, que ha estado en la colección de un museo alemán durante más de un siglo, puede resultar ser una mujer inca que murió de varios golpes en la cabeza, probablemente durante un asesinato ritual.

En la cabeza de la momia había bandas elásticas hechas de lana de alpaca y llama. Esto podría indicar que la momia viene de América del Sur.

Su cráneo también tenía los característicos huesos "wormianos", que solo se encuentran en los pueblos sudamericanos, pero no en los europeos.

Por un lado, la cara de la momia parecía bastante normal, pero dentro de sus huesos del cráneo estaban rotos.

Como puedes ver, la parte frontal de su cráneo está completamente aplastada.

Las exploraciones también mostraron signos de una pared cardíaca compacta e intestinos hinchados. Lo más probable es que fuera causada por la enfermedad de Chagas.

Rayos X del cuerpo de la momia Inca.
Palabras clave: Mir | Momia | Inca | Nakhodka
Publicar artículo de noticiasArtículos Recientes
Las niñas de nuestra colección fácilmente podría competir por el título de "Miss universo". Y esto a pesar del hecho de que ...
La joven Milla Jovovich en brazos de Michael Jackson: esta foto de hace casi treinta años, publicada en el Instagram de la actriz, ...
Artículos relacionados
El Cheloveknik, construido en el distrito Kudrovo de San Petersburgo, es aterrador incluso para aquellos que están acostumbrados a ...
Hay una idea errónea de que cada foto interesante esconde un trabajo largo y minucioso en Photoshop. De hecho, solo necesitas ser ...
Big Ben, el London Eye, Tower Bridge - estos lugares de Gran Bretaña se han convertido en sus tarjetas de visita. Pero hay una ...

Desde explosiones ante la más mínima colisión hasta derrapes interminables sin un rasguño, el cine ha desarrollado desde hace ...