El Inca momias de sacrificar niños y mujeres
Categorias: Mundo
Por Pictolic https://www.pictolic.com/es/article/el-inca-momias-de-sacrificar-ninos-y-mujeres.htmlEl Inca ampliamente practicado sacrificios humanos. La mayoría de los sacrificado a menudo los prisioneros capturados durante las guerras y las incursiones. Pero la mayoría de la confianza de los mensajeros de los dioses, los antepasados, sólo podría ser especialmente seleccionados, hermosos niños que carecen de defectos físicos y no han alcanzado la pubertad. Mientras que los niños estrangulados, rompieron sus cráneos con los clubes, enterrado vivo.
Sensacional descubrimiento de hace un par de años permitió a los científicos a responder a muchas preguntas relacionadas con los sacrificios rituales de los Incas. A continuación, los picos de la cordillera de los Andes fueron encontrados tres bien conservado momificado el cuerpo de los niños. Estos niños fueron sacrificados más de 500 años, pero sus momias perfectamente conservadas. Y recientemente, los científicos hicieron una conclusión de que la momia de la mujer durante mucho tiempo se mantuvo en el Museo alemán, también pertenece a los Incas. Y ella también había signos de muerte violenta.


1. Tres niños momias fueron descubiertas en la parte superior de un volcán Llullaillaco, situado en la frontera de Argentina y Chile. La cima del volcán está situado a una altitud de 6 739 metros sobre el nivel del mar y la temperatura es suficientemente baja que el cuerpo conservado y convertido en momias. Según los científicos, estos niños fueron sacrificados por el volcán hace unos 500 años. En la foto: el Mismo volcán Llullaillaco, en la parte superior de la que fue descubierta la momia de un niño.

2. La momia de 15 años de edad, niña sacrificada hace unos 15 años. Los científicos están casi seguros de que la niña asfixiada. Los cuerpos de tres niños sacrificados hace quinientos años, perfectamente conservado. Su cabello, de la piel y el ADN puede responder a muchas preguntas de los científicos. Los patólogos forenses fueron capaces de determinar cómo muertos estos niños.

3. La momia de 6 años de edad, niña también se encuentra en la parte superior de la Argentina volcán Llullaillaco. En su cuerpo se encontraron rastros de la caída de un rayo, de modo que probablemente murieron de la misma.

4. Los tres momias, incluyendo este 7 – año-viejo muchacho se mantuvo en el Museo de arqueología de alta montaña en donde, Argentina.

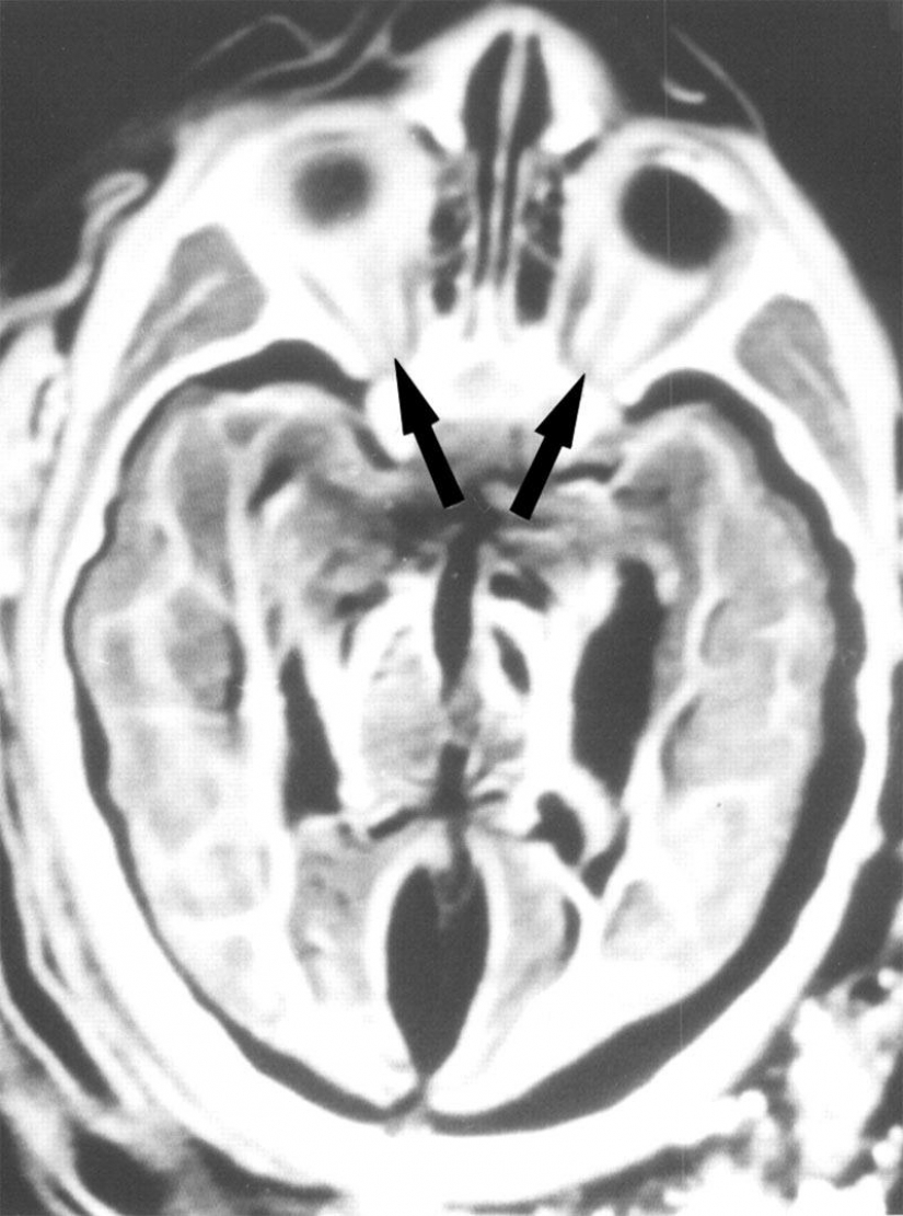
5. Los rayos X del cerebro, de 6 años, niña mostró que ella fue golpeada por un rayo. Aquí se muestra que las órbitas de los ojos, los nervios ópticos (flechas) y la óptica de los músculos.

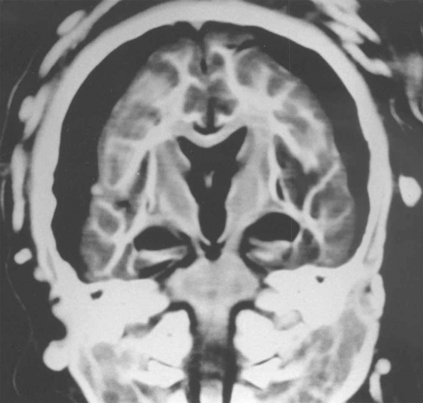
6. X-ray de el cerebro de un 15-year-old girl muestra que entre la blanca y la materia gris del cerebro hay una división. Las flechas señalan el aire que rodea el cerebro.

7. Y que los rayos x mostraron que el cerebro de 5 años niño se quedó en perfecto estado.

8. Los científicos también han concluido que la preparación para el sacrificio de los niños, en particular, de 15 años, niña de la edad que reciben periódicamente las drogas y el alcohol para ser más sumisa.

9. En su artículo, de 29 de julio de 2013 en la revista "Proceedings de la Academia Nacional de Ciencias", los científicos concluyeron que los niños que regularmente consumen las hojas de la Coca y el alcohol. 15-year-old girl inyecta la mayoría de las drogas en su último año de vida y pico de la utilización de la hoja de Coca que se ha producido en los últimos seis meses de su vida.

10. Los científicos también encontraron un pedazo de prensado de la Coca entre los dientes de la muchacha que sugiere que ella masticó para calmarse antes de morir.

11. No hace mucho tiempo que se dio a conocer que la misteriosa momia es más que un siglo antes en la colección del Museo alemán, puede ser una mujer de la tribu de los Incas, que murió a causa de múltiples golpes en la cabeza, probablemente durante el asesinato ritual.

12. A la cabeza de la momia fueron goma de Alpacas y llamas. Se podría decir que la momia es nativa de América del Sur.

13. Su cráneo fue también característico de la "variedad" de los huesos que sólo las Naciones de América del Sur, pero no Europeos.

14. Por un lado la cara de la momia parecía bastante normal, pero en el interior de su cráneo, los huesos estaban rotos.

15. Como se puede ver, la parte frontal de su cráneo está completamente fracturado.

16. Las imágenes también mostraron signos de la compactado de la pared del corazón y una inflamación del intestino. Probablemente, esto fue causado por la enfermedad de Chagas.

17. Los rayos X del cuerpo del Inca momias.
Palabras clave: Los Incas | La momia | Encontrar
Publicar artículo de noticiasArtículos Recientes
Ya es hora de admitir que toda esta idea hipster ha ido demasiado lejos. El concepto se ha vuelto tan popular que incluso los ...
Hay una percepción de que las personas sólo utilizan el 10% de su cerebro potencial. Pero los héroes de nuestra revisión, al ...
Artículos relacionados
La comunidad mundial se sorprendió cuando en 2007 se encontró en la selva camboyana a una mujer desnuda y sucia, que no hablaba, ...
Papua Nueva Guinea sigue asombrando a la cultura primitiva de sus propios pueblos. El fotógrafo italiano logró capturar la ...
Si eres de limpieza, usted encontrará un montón de basura en el ático o en el garaje de la imagen en un polvoriento marco o ...

Año Nuevo es una época para sorprender y deleitar a los seres queridos, no solo con regalos, sino también con una presentación ...