Cómo son los pulmones afectados por el coronavirus
Categorias: Ciencias | Mundo | Salud y Medicina
Por Pictolic https://www.pictolic.com/es/article/cmo-son-los-pulmones-afectados-por-el-coronavirus.htmlLas impactantes radiografías de un paciente de 44 años de un hombre chino que murió de coronavirus muestran lo que esta enfermedad hace a los pulmones humanos. Nos enfrentamos a la complicación más peligrosa del virus, que se convierte en neumonía grave.

Se han publicado radiografías y tomografía computarizada de un paciente chino de 44 años. Muestran claramente cómo el virus destruye el tejido pulmonar. Según los médicos, las lesiones son similares a las que se encuentran en los pulmones de las víctimas del SARS y el síndrome respiratorio de Oriente Medio.

Los médicos chinos presentaron radiografías y tomografías de los pulmones de un paciente de 44 años que murió de coronavirus. Proporcionan una imagen detallada de cómo el virus destruye los pulmones de una persona.
Las imágenes muestran manchas blancas en la parte inferior de los pulmones. Los médicos los llaman " sellos subpleurales como el vidrio esmerilado."En estas áreas, las burbujas de aire de los pulmones se llenan parcialmente con el contenido. También se observaron lesiones similares en pacientes con neumonía atípica y síndrome respiratorio de Oriente Medio.

El fallecido hombre de 44 años de edad, vivía en Wuhan y trabajaba en el mercado local de mariscos, que probablemente se convirtió en la fuente del nuevo virus. Fue hospitalizado el 25 de diciembre de 2019 después de dos semanas de enfermedad. Los médicos le diagnosticaron neumonía y síndrome de dificultad respiratoria aguda. A pesar del tratamiento, murió una semana después.

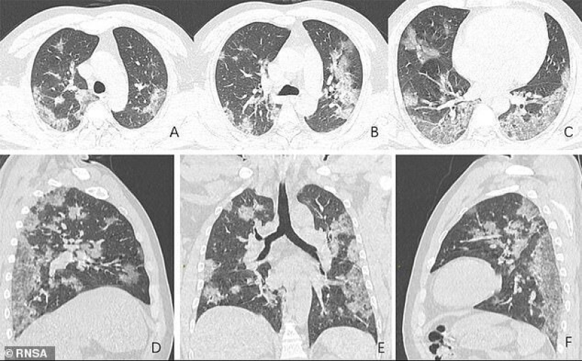
Estas son fotos de una mujer de 54 años que, al regresar de Wuhan, fue diagnosticada con neumonía viral grave. Durante el tratamiento, los médicos le dieron oxígeno y antibióticos.

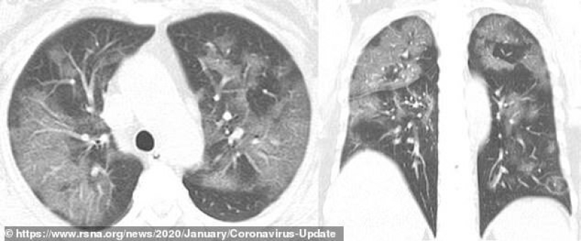
Esta es una instantánea de los pulmones de una mujer de 45 años de Sichuan, examinada después de regresar de Japón y diagnosticada como portadora del virus. La imagen muestra una serie de formaciones similares, pero aquí se concentran en el lóbulo superior del pulmón izquierdo.
Por lo tanto, dicen los médicos, el virus es peligroso, en primer lugar, por su efecto destructivo en los pulmones. La insidia del virus, en primer lugar, radica en el largo período oculto de la enfermedad, que dura 2 semanas. Además, durante este período, es imposible detectar el virus en el cuerpo de una persona enferma con pruebas estándar basadas en el estudio de la saliva, el moco o el esputo, solo son efectivos después de que las manifestaciones de la enfermedad ya hayan comenzado.
Hasta la fecha, la epidemia de coronavirus en China ha disminuido. Se manifiesta con más fuerza en Italia, donde se han registrado 12.462 casos y 827 muertes por el virus.
Palabras clave: Coronavirus | Pulmones | Rayos X
Publicar artículo de noticiasArtículos Recientes
Gerard Uferas es uno de los fotógrafos franceses contemporáneos más reconocidos y vibrantes. Su talento es multifacético, pero ...
En 1969, un restaurante de comida saludable abrió en Sunset Strip en Los Ángeles, uno de los primeros en el país y posiblemente ...
Artículos relacionados
Como en la mayoría de los países del mundo, cuando un niño nace en una familia japonesa, los familiares vienen a visitarlo con ...
Para creer que podría estar dentro de una persona viva, necesita ver sus radiografías con sus propios ojos. Traemos a su ...
Todo el mundo sabe lo que es un pañuelo, pero si preguntas qué significa esta palabra, es poco probable que obtengas una ...

Colin y Kristin Poole son una familia creativa increíble. Colin es un artista de renombre mundial, y su esposa Kristin es una ...